You have no items in your shopping cart.
MTOR Rabbit Polyclonal Antibody
Description
Research Area
Images & Validation
−| Tested Applications | FC, ICC, IF, IHC-Fr, IHC-P, WB |
|---|---|
| Dilution Range | WB=1:500-2000, IHC-P=1:100-500, IHC-F=1:100-500, ICC/IF=1:100-500, IF=1:100-500, Flow-Cyt=1μg /test |
| Reactivity | Human, Mouse, Rat |
| Predicted Reactivity | Bovine, Canine, Equine, Gallus, Goat, Rabbit, Sheep |
Related Conjugates & Formulations
−Key Properties
−| Antibody Type | Primary Antibody |
|---|---|
| Host | Rabbit |
| Clonality | Polyclonal |
| Isotype | IgG |
| Immunogen | KLH conjugated synthetic peptide derived from human mTOR (2401-2549/2549aa) |
| Target | MTOR |
| Molecular Weight | 289 kDa |
| Purification | Affinity purified by Protein A |
| Conjugation | Unconjugated |
Storage & Handling
−| Storage | Maintain refrigerated at 2-8°C for up to 2 weeks. For long term storage store at -20°C in small aliquots to prevent freeze-thaw cycles. |
|---|---|
| Form/Appearance | Liquid |
| Buffer/Preservatives | 0.01M TBS (pH7.4) with 1% rAlbumin, 0.02% Proclin300 and 50% Glycerol. |
| Concentration | 1mg/ml |
| Expiration Date | 12 months from date of receipt. |
| Disclaimer | For research use only |
Alternative Names
−Similar Products
−Phospho-mTOR (Ser2481) Rabbit Polyclonal Antibody [orb6453]
FC, ICC, IF, IHC-Fr, IHC-P, WB
Canine, Equine, Porcine, Rabbit, Sheep
Human, Mouse, Rat
Rabbit
Polyclonal
Unconjugated
50 μl, 200 μl, 100 μlPhospho-mTOR (Ser2448) Rabbit Polyclonal Antibody [orb6452]
FC, IF, IHC-Fr, IHC-P
Bovine, Canine, Equine, Rabbit, Sheep
Human, Mouse, Rat
Rabbit
Polyclonal
Unconjugated
100 μl, 50 μl, 200 μlRaptor Rabbit Polyclonal Antibody [orb6836]
IF, IHC-Fr, IHC-P
Bovine, Equine, Gallus, Mouse, Porcine, Rat, Sheep
Human
Rabbit
Polyclonal
Unconjugated
200 μl, 50 μl, 100 μlPhospho-RPS6KB1 (Ser417) Rabbit Polyclonal Antibody [orb6610]
ICC, IF, IHC-Fr, IHC-P
Bovine, Equine, Gallus, Porcine
Human, Mouse, Rat
Rabbit
Polyclonal
Unconjugated
200 μl, 50 μl, 100 μlmTOR Polyclonal Antibody [orb1412994]
IF, IHC-P, WB
Human, Mouse, Rat
Rabbit
Polyclonal
Unconjugated
100 μl

Quality Guarantee
Explore bioreagents carefree to elevate your research. All our products are rigorously tested for performance. If a product does not perform as described on its datasheet, our scientific support team will provide expert troubleshooting, a prompt replacement, or a refund. For full details, please see our Terms & Conditions and Buying Guide. Contact us at support@biorbyt.com.

Blank control (blue line): Hela (fixed with 70% ethanol (Overnight at 4°C) and then permeabilized with 90% ice-cold methanol for 30 min on ice.), Primary Antibody (green line): Rabbit Anti-MOTR antibody (orb13590), Dilution: 1 µg/10^6 cells. Isotype Control Antibody (orange line): Rabbit IgG. Secondary Antibody (white blue line): Goat anti-rabbit IgG-FITC, Dilution: 1 µg/Test.

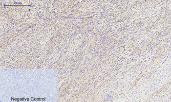
Paraformaldehyde-fixed, paraffin embedded (mouse brain), Antigen retrieval by boiling in sodium citrate buffer (pH6.0) for 15 min, Block endogenous peroxidase by 3% hydrogen peroxide for 20 minutes, Blocking buffer (normal goat serum) at 37°C for 30 min, Antibody incubation with (MTOR) Polyclonal Antibody, Unconjugated (orb13590) at 1:200 overnight at 4°C, followed by operating according to SP Kit (Rabbit) instructionsand DAB staining.

Paraformaldehyde-fixed, paraffin embedded (Mouse testis), Antigen retrieval by microwave in sodium citrate buffer (pH6.0), Block endogenous peroxidase by 3% hydrogen peroxide for 30 minutes, Blocking buffer (3% BSA) at RT for 30 min, Antibody incubation with (MTOR) Polyclonal Antibody, Unconjugated (orb13590) at 1:400 overnight at 4°C, followed by conjugation to the secondary antibody (labeled with HRP) and DAB staining.

Paraformaldehyde-fixed, paraffin embedded (rat brain), Antigen retrieval by boiling in sodium citrate buffer (pH6.0) for 15 min, Block endogenous peroxidase by 3% hydrogen peroxide for 20 minutes, Blocking buffer (normal goat serum) at 37°C for 30 min, Antibody incubation with (MTOR) Polyclonal Antibody, Unconjugated (orb13590) at 1:200 overnight at 4°C, followed by operating according to SP Kit (Rabbit) instructionsand DAB staining.

Paraformaldehyde-fixed, paraffin embedded (Rat brain), Antigen retrieval by microwave in sodium citrate buffer (pH6.0), Block endogenous peroxidase by 3% hydrogen peroxide for 30 minutes, Blocking buffer (3% BSA) at RT for 30 min, Antibody incubation with (MTOR) Polyclonal Antibody, Unconjugated (orb13590) at 1:400 overnight at 4°C, followed by conjugation to the secondary antibody (labeled with HRP) and DAB staining.

Paraformaldehyde-fixed, paraffin embedded (Rat testis), Antigen retrieval by microwave in sodium citrate buffer (pH6.0), Block endogenous peroxidase by 3% hydrogen peroxide for 30 minutes, Blocking buffer (3% BSA) at RT for 30 min, Antibody incubation with (MTOR) Polyclonal Antibody, Unconjugated (orb13590) at 1:400 overnight at 4°C, followed by conjugation to the secondary antibody (labeled with HRP) and DAB staining.

Sample: K562 Cell Lysate at 40 ug, Primary: Anti-MTOR (orb13590) at 1/300 dilution, Secondary: IRDye800CW Goat Anti-Rabbit IgG at 1/20000 dilution, Predicted band size: 289 kD, Observed band size: 245 kD.

Sample: Lane 1: Recombinant human MTOR protein, N-His, Primary: Anti-MTOR (orb13590) at 1/1000 dilution, Secondary: IRDye800CW Goat Anti-Rabbit IgG at 1/20000 dilution, Predicted band size: 289 kDa, Observed band size: 35 kDa.

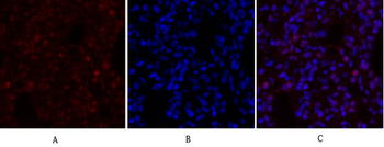
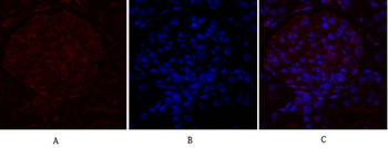
Tissue/Cell: Hela cell, 4% Paraformaldehyde-fixed, Triton X-100 at room temperature for 20 min, Blocking buffer (normal goat serum) at 37°C for 20 min, Antibody incubation with (MTOR) polyclonal Antibody, Unconjugated (orb13590) 1:100, 90 minutes at 37°C, followed by a FITC conjugated Goat Anti-Rabbit IgG antibody at 37°C for 90 minutes, DAPI (blue) was used to stain the cell nuclei.
Quick Database Links
UniProt Details
−Documents Download
Request a Document
Protocol Information
Filter by Applications
Filter by Species
Seul Ki Kim 1, Byung Chul Jee 1 The role of mammalian target of rapamycin inhibitors in mitigating cyclophosphamide-induced ovarian damage in a murine model Clin Exp Reprod Med, (2025)
Applications
Reactivity
MTOR Rabbit Polyclonal Antibody (orb13590)
Participating in our Biorbyt product reviews program enables you to support fellow scientists by sharing your firsthand experience with our products.
Login to Submit a Review






























