You have no items in your shopping cart.
NET1 Rabbit Polyclonal Antibody
Description
Images & Validation
−| Tested Applications | IF, IHC-Fr, IHC-P, WB |
|---|---|
| Dilution range | WB=1:500-2000, IHC-P=1:100-500, IHC-F=1:100-500, IF=1:100-500 |
| Reactivity | Human, Mouse, Rat |
| Predicted Reactivity | Bovine, Canine, Equine, Gallus, Porcine, Rabbit, Sheep |
Related Conjugates & Formulations
−Key Properties
−| Antibody Type | Primary Antibody |
|---|---|
| Host | Rabbit |
| Clonality | Polyclonal |
| Isotype | IgG |
| Immunogen | KLH conjugated synthetic peptide derived from human NET1 (151-250/596aa) |
| Target | NET1 |
| Molecular Weight | 65 kDa |
| Purification | Affinity purified by Protein A |
| Conjugation | Unconjugated |
Storage & Handling
−| Storage | Maintain refrigerated at 2-8°C for up to 2 weeks. For long term storage store at -20°C in small aliquots to prevent freeze-thaw cycles. |
|---|---|
| Form/Appearance | Liquid |
| Buffer/Preservatives | 0.01M TBS (pH7.4) with 1% rAlbumin, 0.02% Proclin300 and 50% Glycerol. |
| Concentration | 1mg/ml |
| Disclaimer | For research use only |
Alternative Names
−Similar Products
−SLC6A2 Rabbit Polyclonal Antibody [orb324970]
WB
Bovine, Canine, Equine, Guinea pig, Rabbit, Rat
Human, Mouse
Rabbit
Polyclonal
Unconjugated
100 μlNET1 Rabbit Polyclonal Antibody [orb704493]
FC, IF, IHC-Fr, IHC-P, WB
Bovine, Canine, Equine, Gallus, Rat
Human, Mouse
Rabbit
Polyclonal
Unconjugated
50 μl, 200 μl, 100 μlSLC6A5 Rabbit Polyclonal Antibody [orb325098]
IHC, WB
Bovine, Canine, Equine, Guinea pig, Mouse, Rabbit, Rat, Zebrafish
Human
Rabbit
Polyclonal
Unconjugated
100 μlSLC6A2 Rabbit Polyclonal Antibody [orb324969]
WB
Bovine, Canine, Equine, Guinea pig, Mouse, Rabbit, Sheep
Human, Rat
Rabbit
Polyclonal
Unconjugated
100 μlNET1 Rabbit Polyclonal Antibody [orb101491]
IF, IHC-Fr, IHC-P
Bovine, Canine, Human, Porcine, Rabbit, Rat
Mouse
Rabbit
Polyclonal
Unconjugated
100 μl, 200 μl, 50 μl

Quality Guarantee
Explore bioreagents carefree to elevate your research. All our products are rigorously tested for performance. If a product does not perform as described on its datasheet, our scientific support team will provide expert troubleshooting, a prompt replacement, or a refund. For full details, please see our Terms & Conditions and Buying Guide. Contact us at support@biorbyt.com.

HepG2 cell, 4% Paraformaldehyde-fixed, Triton X-100 at room temperature for 20 min, Blocking buffer (normal goat serum) at 37°C for 20 min, Antibody incubation with (NET1) polyclonal Antibody, Unconjugated (orb157950) 1:25, 90 minutes at 37°C, followed by a conjugated Goat Anti-Rabbit IgG antibody at 37°C for 90 minutes, DAPI (blue) was used to stain the cell nuclei.

Sample: Jurkat (Human) Cell Lysate at 30 ug, Skin (Mouse) Lysate at 40 ug, Skin (Rat) Lysate at 40 ug, Primary: Anti-NET1 (orb157950) at 1/1000 dilution, Secondary: IRDye800CW Goat Anti-Rabbit IgG at 1/20000 dilution, Predicted band size: 65 kD, Observed band size: 65 kD.

Sample: Lane 1: Mouse Cerebrum tissue lysates, Lane 2: Mouse Cerebellum tissue lysates, Lane 3: Mouse Heart tissue lysates, Lane 4: Rat Cerebrum tissue lysates, Lane 5: Rat Cerebellum tissue lysates, Lane 6: Rat Stomach tissue lysates, Lane 7: Human K562 cell lysates, Lane 8: Human A431 cell lysates, Lane 9: Human HepG2 cell lysates, Lane 10: Human MCF-7 cell lysates, Primary: Anti-NET1 (orb157950) at 1/1000 dilution, Secondary: IRDye800CW Goat Anti-Rabbit IgG at 1/20000 dilution, Predicted band size: 65 kDa, Observed band size: 62 kDa.

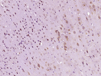
Tissue/Cell: mouse brain tissue, 4% Paraformaldehyde-fixed and paraffin-embedded, Antigen retrieval: citrate buffer (0.01M, pH 6.0), Boiling bathing for 15 min, Block endogenous peroxidase by 3% Hydrogen peroxide for 30 min, Blocking buffer (normal goat serum) at 37°C for 20 min, Incubation: Anti-NET1 Polyclonal Antibody, Unconjugated (orb157950) 1:200, overnight at 4°C, followed by conjugation to the secondary antibody and DAB staining.
Quick Database Links
UniProt Details
−Documents Download
Request a Document
Protocol Information
NET1 Rabbit Polyclonal Antibody (orb157950)
Participating in our Biorbyt product reviews program enables you to support fellow scientists by sharing your firsthand experience with our products.
Login to Submit a Review





















