You have no items in your shopping cart.
Osteoprotegerin Rabbit Polyclonal Antibody
Description
Images & Validation
−| Tested Applications | ELISA, IHC, WB |
|---|---|
| Dilution range | WB: 1:200-1:1,000 |
| Reactivity | Human |
| Predicted Reactivity | Mouse, Rat |
| Application Notes |
Key Properties
−| Host | Rabbit |
|---|---|
| Clonality | Polyclonal |
| Isotype | IgG |
| Immunogen | A peptide corresponding to middle region of human Osteoprotegerin protein. |
| Target | Osteoprotegerin |
| Molecular Weight | 38kd |
| Purification | Purified by antigen affinity column. |
| Conjugation | Unconjugated |
Storage & Handling
−| Storage | Maintain refrigerated at 2-8°C for up to 2 weeks. For long term storage store at -20°C in small aliquots to prevent freeze-thaw cycles. |
|---|---|
| Form/Appearance | Lyophilized power with 1% rAlbumin and 0.02% NaN3. |
| Disclaimer | For research use only |
Alternative Names
−Similar Products
−RANKL/CD254 Rabbit Polyclonal Antibody [orb11190]
FC, IF, IHC-Fr, IHC-P, WB
Canine, Rat
Human, Mouse
Rabbit
Polyclonal
Unconjugated
100 μl, 200 μl, 50 μlRANKL/CD254 Rabbit Polyclonal Antibody [orb500861]
FC, WB
Bovine, Canine, Equine, Porcine, Rabbit, Rat, Zebrafish
Human, Mouse
Rabbit
Polyclonal
Unconjugated
50 μl, 100 μl, 200 μl

Quality Guarantee
Explore bioreagents carefree to elevate your research. All our products are rigorously tested for performance. If a product does not perform as described on its datasheet, our scientific support team will provide expert troubleshooting, a prompt replacement, or a refund. For full details, please see our Terms & Conditions and Buying Guide. Contact us at support@biorbyt.com.

Western blot analysis of LO2 cell lysates using OPG antibody

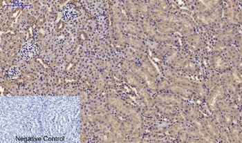
Immunohistochemical analysis of formalin-fixed paraffin embedded kidney showing cytoplasmic staining using OPG antibody
Quick Database Links
Documents Download
Request a Document
Protocol Information
Osteoprotegerin Rabbit Polyclonal Antibody (orb77276)
Participating in our Biorbyt product reviews program enables you to support fellow scientists by sharing your firsthand experience with our products.
Login to Submit a Review





















