You have no items in your shopping cart.
OPG Polyclonal Antibody
Description
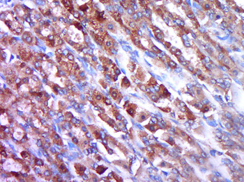
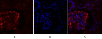
Images & Validation
−| Tested Applications | IF, IHC-P, WB |
|---|---|
| Dilution range | WB: Western Blot: 1/500 - 1/2000. Immunohistochemistry: 1/100 - 1/300. Immunofluorescence: 1/200 - 1/1000. ELISA: 1/10000. Not yet tested in other applications. |
| Reactivity | Human, Mouse |
Key Properties
−| Host | Rabbit |
|---|---|
| Clonality | Polyclonal |
| Conjugation | Unconjugated |
Storage & Handling
−| Storage | Maintain refrigerated at 2-8°C for up to 2 weeks. For long term storage store at -20°C in small aliquots to prevent freeze-thaw cycles |
|---|---|
| Disclaimer | For research use only |
Alternative Names
−Similar Products
−OPG Rabbit Polyclonal Antibody [orb312402]
IF, IHC-Fr, IHC-P, WB
Bovine, Canine
Human, Mouse, Rat
Rabbit
Polyclonal
Unconjugated
100 μl, 200 μl, 50 μlOPG Rabbit Polyclonal Antibody [orb501004]
IF, IHC-Fr, IHC-P, WB
Canine, Rabbit
Human, Mouse, Rat
Rabbit
Polyclonal
Unconjugated
50 μl, 200 μl, 100 μlTNFRSF11B Antibody [orb519302]
ELISA, IHC, WB
Human, Mouse, Rat
Rabbit
Polyclonal
Unconjugated
50 μl, 100 μlOsteoprotegerin Antibody [orb216171]
IF, IHC, WB
Human, Mouse, Rat
Rabbit
Polyclonal
Unconjugated
50 μl, 30 μl, 100 μl, 200 μl

Quality Guarantee
Explore bioreagents carefree to elevate your research. All our products are rigorously tested for performance. If a product does not perform as described on its datasheet, our scientific support team will provide expert troubleshooting, a prompt replacement, or a refund. For full details, please see our Terms & Conditions and Buying Guide. Contact us at support@biorbyt.com.







Quick Database Links
UniProt Details
−Documents Download
Request a Document
Protocol Information
OPG Polyclonal Antibody (orb1412682)
Participating in our Biorbyt product reviews program enables you to support fellow scientists by sharing your firsthand experience with our products.
Login to Submit a Review













