You have no items in your shopping cart.
P38 MAPK/ MAPK14 Rabbit Polyclonal Antibody
Description
Research Area
Images & Validation
−| Tested Applications | IF, IHC-Fr, IHC-P |
|---|---|
| Dilution Range | IHC-P=1:100-500, IHC-F=1:100-500, IF=1:100-500 |
| Reactivity | Human, Mouse, Rat |
| Predicted Reactivity | Canine, Equine, Gallus, Human, Porcine, Rabbit |
Related Conjugates & Formulations
−Key Properties
−| Antibody Type | Primary Antibody |
|---|---|
| Host | Rabbit |
| Clonality | Polyclonal |
| Isotype | IgG |
| Immunogen | KLH conjugated synthetic peptide derived from human P38 MAPK/ MAPK14 (121-220/360aa) |
| Target | MAPK14 |
| Molecular Weight | 41 kDa |
| Purification | Affinity purified by Protein A |
| Conjugation | Unconjugated |
Storage & Handling
−| Storage | Maintain refrigerated at 2-8°C for up to 2 weeks. For long term storage store at -20°C in small aliquots to prevent freeze-thaw cycles. |
|---|---|
| Form/Appearance | Liquid |
| Buffer/Preservatives | 0.01M TBS (pH7.4) with 1% rAlbumin, 0.02% Proclin300 and 50% Glycerol. |
| Concentration | 1mg/ml |
| Expiration Date | 12 months from date of receipt. |
| Disclaimer | For research use only |
Alternative Names
−Similar Products
−P38 MAPK Rabbit Polyclonal Antibody [orb11207]
FC, ICC
Canine, Rabbit, Rat, Sheep
Human, Mouse
Rabbit
Polyclonal
Unconjugated
50 μl, 100 μl, 200 μlPhospho-p38 MAPK (Thr180 + Tyr182) Rabbit Polyclonal Antibody [orb6578]
ELISA, FC, ICC, IF, IHC-Fr, IHC-P, WB
Canine, Equine, Gallus, Human, Porcine, Rabbit
Mouse, Rat
Rabbit
Polyclonal
Unconjugated
50 μl, 100 μl, 200 μlPhospho-P38 MAPK (Thr180 + Tyr182) Rabbit Polyclonal Antibody [orb11208]
IF, IHC-Fr, IHC-P
Canine, Rabbit
Human, Mouse, Rat
Rabbit
Polyclonal
Unconjugated
50 μl, 100 μl, 200 μlPhospho-P38 MAPK (Thr180) Rabbit Polyclonal Antibody [orb7089]
FC, IF, IHC-Fr, IHC-P, WB
Canine, Equine, Gallus, Porcine, Rabbit
Human, Mouse, Rat
Rabbit
Polyclonal
Unconjugated
50 μl, 100 μl, 200 μlPhospho-p38 MAPK (Tyr323) Rabbit Polyclonal Antibody [orb7090]
IF, IHC-Fr, IHC-P, WB
Canine, Equine, Gallus, Human, Porcine, Rabbit, Rat
Mouse
Rabbit
Polyclonal
Unconjugated
200 μl, 50 μl, 100 μl

Quality Guarantee
Explore bioreagents carefree to elevate your research. All our products are rigorously tested for performance. If a product does not perform as described on its datasheet, our scientific support team will provide expert troubleshooting, a prompt replacement, or a refund. For full details, please see our Terms & Conditions and Buying Guide. Contact us at support@biorbyt.com.

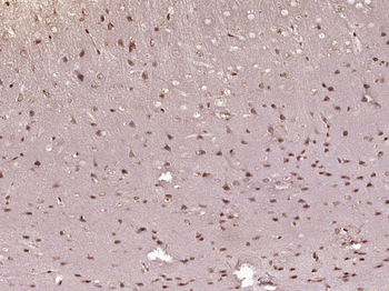
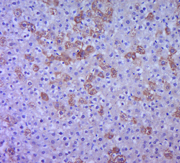
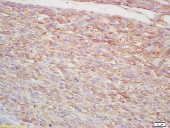
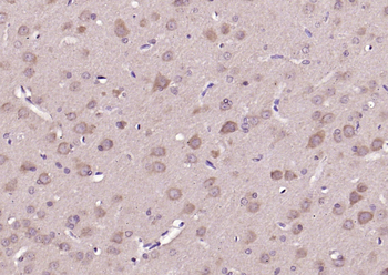
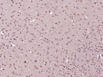
Paraformaldehyde-fixed, paraffin embedded (Mouse brain), Antigen retrieval by boiling in sodium citrate buffer (pH6.0) for 15 min, Block endogenous peroxidase by 3% hydrogen peroxide for 20 minutes, Blocking buffer (normal goat serum) at 37°C for 30 min, Antibody incubation with (P38 MAPK/MAPK14) Polyclonal Antibody, Unconjugated (orb500604) at 1:400 overnight at 4°C, followed by operating according to SP Kit (Rabbit) instructionsand DAB staining.

Sample: Cerebrum (Mouse) Lysate at 40 ug, Primary: Anti-MAPK14 (orb500604) at 1/1000 dilution, Secondary: IRDye800CW Goat Anti-Rabbit IgG at 1/20000 dilution, Predicted band size: 41 kD, Observed band size: 41 kD.

Sample: Lane 1: Mouse Heart tissue lysates, Lane 2: Mouse Muscle tissue lysates, Lane 3: Rat Muscle tissue lysates, Primary: Anti-P38 MAPK/ MAPK14 (orb500604) at 1/1000 dilution, Secondary: IRDye800CW Goat Anti-Rabbit IgG at 1/20000 dilution, Predicted band size: 41 kDa, Observed band size: 46 kDa.
Quick Database Links
UniProt Details
−Documents Download
Request a Document
Protocol Information
P38 MAPK/ MAPK14 Rabbit Polyclonal Antibody (orb500604)
Participating in our Biorbyt product reviews program enables you to support fellow scientists by sharing your firsthand experience with our products.
Login to Submit a Review


































