You have no items in your shopping cart.
Phospho-beta Catenin (Ser33) Rabbit Polyclonal Antibody
Description
Research Area
Images & Validation
−| Tested Applications | FC, IF, IHC-Fr, IHC-P |
|---|---|
| Dilution Range | IHC-P=1:100-500, IHC-F=1:100-500, IF=1:100-500, Flow-Cyt=1μg/Test |
| Reactivity | Human, Mouse |
| Predicted Reactivity | Gallus, Porcine, Rabbit, Rat |
Related Conjugates & Formulations
−Key Properties
−| Antibody Type | Primary Antibody |
|---|---|
| Host | Rabbit |
| Clonality | Polyclonal |
| Isotype | IgG |
| Immunogen | KLH conjugated synthesised phosphopeptide derived from human beta Catenin around the phosphorylation site of Ser33 LD(p-S)GI |
| Target | CTNNB1 |
| Molecular Weight | 86 kDa |
| Purification | Affinity purified by Protein A |
| Conjugation | Unconjugated |
Storage & Handling
−| Storage | Maintain refrigerated at 2-8°C for up to 2 weeks. For long term storage store at -20°C in small aliquots to prevent freeze-thaw cycles. |
|---|---|
| Form/Appearance | Liquid |
| Buffer/Preservatives | 0.01M TBS (pH7.4) with 1% rAlbumin, 0.02% Proclin300 and 50% Glycerol. |
| Concentration | 1mg/ml |
| Expiration Date | 12 months from date of receipt. |
| Disclaimer | For research use only |
Alternative Names
−Similar Products
−Phospho-Beta-Catenin (Ser33 + Ser37) Rabbit Polyclonal Antibody [orb5768]
FC, IF, IHC-Fr, IHC-P
Gallus, Porcine, Rabbit
Human, Mouse, Rat
Rabbit
Polyclonal
Unconjugated
50 μl, 100 μl, 200 μlPhospho-beta Catenin (Ser33) Rabbit Polyclonal Antibody [orb155825]
FC, IF, IHC-Fr, IHC-P
Gallus, Mouse, Porcine, Rabbit
Human, Rat
Rabbit
Polyclonal
Unconjugated
50 μl, 200 μl, 100 μlPhospho-beta Catenin (Ser33) Rabbit Polyclonal Antibody (PE) [orb490470]
FC, IF
Gallus, Porcine, Rabbit, Rat
Human, Mouse
Rabbit
Polyclonal
PE
100 μlPhospho-beta Catenin (Ser33) Rabbit Polyclonal Antibody (HRP) [orb474603]
IHC-Fr, IHC-P
Gallus, Porcine, Rabbit, Rat
Human, Mouse
Rabbit
Polyclonal
HRP
100 μlPhospho-Beta-Catenin (Ser33 + Ser37) Rabbit Polyclonal Antibody (PE) [orb505609]
FC, IF
Gallus, Porcine, Rabbit
Human, Mouse, Rat
Rabbit
Polyclonal
PE
100 μl

Quality Guarantee
Explore bioreagents carefree to elevate your research. All our products are rigorously tested for performance. If a product does not perform as described on its datasheet, our scientific support team will provide expert troubleshooting, a prompt replacement, or a refund. For full details, please see our Terms & Conditions and Buying Guide. Contact us at support@biorbyt.com.

Blank control: Hela (fixed with 2% paraformaldehyde (10 min), then permeabilized with 0.3% tritionx-100 for 5 min at room temperature). Primary Antibody: Rabbit Anti-phospho-beta Catenin (Ser33) antibody (orb500645, Green), dilution: 1 µg in 100 µl 1X PBS containing 0.5% BSA, Isotype Control Antibody: Rabbit IgG (orange), used under the same conditions, Secondary Antibody: Goat anti-rabbit IgG-FITC), dilution: 1:200 in 1X PBS containing 0.5% BSA. Protocol, The cells were Primary antibody (orb500645, 1 µg/1x10^6 cells) were incubated for 30 min at room temperature, followed by 1X PBS containing 0.5% BSA + 1 0% goat serum (15 min) to block non-specific protein-protein interactions. Then the Goat Anti-rabbit IgG/FITC antibody was added into the blocking buffer mentioned above to react with the primary antibody at 1/200 dilution for 40 min on ice. Acquisition of 20000 events was performed.

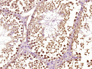
Paraformaldehyde-fixed, paraffin embedded (Mouse testis), Antigen retrieval by boiling in sodium citrate buffer (pH6.0) for 15 min, Block endogenous peroxidase by 3% hydrogen peroxide for 20 minutes, Blocking buffer (normal goat serum) at 37°C for 30 min, Antibody incubation with (phospho-beta Catenin (Ser33)) Polyclonal Antibody, Unconjugated (orb500645) at 1:400 overnight at 4°C, followed by operating according to SP Kit (Rabbit) instructionsand DAB staining.
Quick Database Links
UniProt Details
−Documents Download
Request a Document
Protocol Information
Phospho-beta Catenin (Ser33) Rabbit Polyclonal Antibody (orb500645)
Participating in our Biorbyt product reviews program enables you to support fellow scientists by sharing your firsthand experience with our products.
Login to Submit a Review








