You have no items in your shopping cart.
Phospho-Cytokeratin 8 (Ser431) Rabbit Polyclonal Antibody
Description
Research Area
Images & Validation
−| Tested Applications | FC, IF, IHC-Fr, IHC-P, WB |
|---|---|
| Dilution Range | WB=1:500-2000, IHC-P=1:100-500, IHC-F=1:100-500, IF=1:100-500, Flow-Cyt=1ug/Test |
| Reactivity | Human, Mouse |
| Predicted Reactivity | Equine, Rat |
Related Conjugates & Formulations
−Key Properties
−| Antibody Type | Primary Antibody |
|---|---|
| Host | Rabbit |
| Clonality | Polyclonal |
| Isotype | IgG |
| Immunogen | KLH conjugated synthesised phosphopeptide derived from human CK8 around the phosphorylation site of Ser431 LT(p-S)PG |
| Target | KRT8 |
| Molecular Weight | 53 kDa |
| Purification | Affinity purified by Protein A |
| Conjugation | Unconjugated |
Storage & Handling
−| Storage | Maintain refrigerated at 2-8°C for up to 2 weeks. For long term storage store at -20°C in small aliquots to prevent freeze-thaw cycles. |
|---|---|
| Form/Appearance | Liquid |
| Buffer/Preservatives | 0.01M TBS (pH7.4) with 1% rAlbumin, 0.02% Proclin300 and 50% Glycerol. |
| Concentration | 1mg/ml |
| Expiration Date | 12 months from date of receipt. |
| Disclaimer | For research use only |
Alternative Names
−Similar Products
−Phospho-Cytokeratin 8 (Ser431) Rabbit Polyclonal Antibody (FITC) [orb502637]
FC, IF
Equine, Rat
Human, Mouse
Rabbit
Polyclonal
FITC
100 μlPhospho-Cytokeratin 8 (Ser431) Rabbit Polyclonal Antibody (HRP) [orb503571]
IHC-Fr, IHC-P, WB
Equine, Rat
Human, Mouse
Rabbit
Polyclonal
HRP
100 μlPhospho-Cytokeratin 8 (Ser431) Rabbit Polyclonal Antibody (Biotin) [orb501658]
FC, IF, IHC-Fr, IHC-P, WB
Equine, Rat
Human, Mouse
Rabbit
Polyclonal
Biotin
100 μlPhospho-Cytokeratin 8 (Ser431) Rabbit Polyclonal Antibody (PE) [orb505124]
FC, IF
Equine, Rat
Human, Mouse
Rabbit
Polyclonal
PE
100 μlPhospho-Cytokeratin 8 (Ser431) Rabbit Polyclonal Antibody (PE-Cy5) [orb907797]
FC, IF
Equine, Rat
Human, Mouse
Rabbit
Polyclonal
PE/Cy5
100 μl

Quality Guarantee
Explore bioreagents carefree to elevate your research. All our products are rigorously tested for performance. If a product does not perform as described on its datasheet, our scientific support team will provide expert troubleshooting, a prompt replacement, or a refund. For full details, please see our Terms & Conditions and Buying Guide. Contact us at support@biorbyt.com.

Blank control: MCF-7. Primary Antibody (green line): Rabbit Anti-phospho-Cytokeratin 8 (Ser431) antibody (orb156523), Dilution: 1 ug/Test, Secondary Antibody: Goat anti-rabbit IgG-FITC, Dilution: 0.5 ug/Test. Protocol, The cells were fixed with 4% PFA (10 min at room temperature) and then permeabilized with 90% ice-cold methanol for 20 min at -20°C. The cells were then incubated in 5% BSA to block non-specific protein-protein interactions for 30 min at room temperature. Cells stained with Primary Antibody for 30 min at room temperature. The secondary antibody used for 40 min at room temperature. Acquisition of 20000 events was performed.

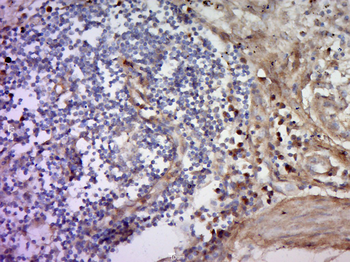
Paraformaldehyde-fixed, paraffin embedded (Human colon cancer), Antigen retrieval by boiling in sodium citrate buffer (pH6.0) for 15 min, Block endogenous peroxidase by 3% hydrogen peroxide for 20 minutes, Blocking buffer (normal goat serum) at 37°C for 30 min, Antibody incubation with (p-Cytokeratin 8 (Ser431)) Polyclonal Antibody, Unconjugated (orb156523) at 1:500 overnight at 4°C, followed by a conjugated secondary for 20 minutes and DAB staining.

Sample: Stomach (Mouse) Lysate at 40 ug, Primary: Anti-phospho-Cytokeratin 8 (Ser431) (orb156523) at 1/300 dilution, Secondary: IRDye800CW Goat Anti-Rabbit IgG at 1/20000 dilution, Predicted band size: 53 kD, Observed band size: 53 kD.
Quick Database Links
UniProt Details
−Documents Download
Request a Document
Protocol Information
Phospho-Cytokeratin 8 (Ser431) Rabbit Polyclonal Antibody (orb156523)
Participating in our Biorbyt product reviews program enables you to support fellow scientists by sharing your firsthand experience with our products.
Login to Submit a Review