You have no items in your shopping cart.
Phospho-EGFR (Tyr1197) Rabbit Polyclonal Antibody
Description
Research Area
Images & Validation
−| Tested Applications | IF, IHC-Fr, IHC-P |
|---|---|
| Dilution Range | IHC-P=1:100-500, IHC-F=1:100-500, IF=1:100-500 |
| Reactivity | Rat |
| Predicted Reactivity | Bovine, Equine, Human, Mouse, Porcine, Rabbit |
Related Conjugates & Formulations
−Key Properties
−| Antibody Type | Primary Antibody |
|---|---|
| Host | Rabbit |
| Clonality | Polyclonal |
| Isotype | IgG |
| Immunogen | KLH conjugated Synthesised phosphopeptide derived from human EGFR around the phosphorylation site of Tyr1197 AE(-p-Y)LR |
| Target | EGFR |
| Molecular Weight | 170 kDa |
| Purification | Affinity purified by Protein A |
| Conjugation | Unconjugated |
Storage & Handling
−| Storage | Maintain refrigerated at 2-8°C for up to 2 weeks. For long term storage store at -20°C in small aliquots to prevent freeze-thaw cycles. |
|---|---|
| Form/Appearance | Liquid |
| Buffer/Preservatives | 0.01M TBS (pH7.4) with 1% rAlbumin, 0.02% Proclin300 and 50% Glycerol. |
| Concentration | 1mg/ml |
| Expiration Date | 12 months from date of receipt. |
| Disclaimer | For research use only |
Alternative Names
−Similar Products
−Phospho-EGFR (Tyr1197) Rabbit Polyclonal Antibody (PE) [orb505843]
IF
Bovine, Equine, Human, Mouse, Porcine, Rabbit
Rat
Rabbit
Polyclonal
PE
100 μlPhospho-EGFR (Tyr1197) Rabbit Polyclonal Antibody (Biotin) [orb501233]
IF, IHC-Fr, IHC-P
Bovine, Equine, Human, Mouse, Porcine, Rabbit
Rat
Rabbit
Polyclonal
Biotin
100 μlPhospho-EGFR (Tyr1197) Rabbit Polyclonal Antibody (HRP) [orb504278]
IHC-Fr, IHC-P
Bovine, Equine, Human, Mouse, Porcine, Rabbit
Rat
Rabbit
Polyclonal
HRP
100 μlPhospho-EGFR (Tyr1197) Rabbit Polyclonal Antibody (FITC) [orb7976]
IF
Bovine, Equine, Human, Mouse, Porcine, Rabbit
Rat
Rabbit
Polyclonal
FITC
100 μlPhospho-EGFR (Tyr1197) Rabbit Polyclonal Antibody (PerCP-Cy5.5) [orb2412179]
IF
Bovine, Equine, Human, Mouse, Porcine, Rabbit
Rat
Rabbit
Polyclonal
PerCP/Cy5.5
100 μl

Quality Guarantee
Explore bioreagents carefree to elevate your research. All our products are rigorously tested for performance. If a product does not perform as described on its datasheet, our scientific support team will provide expert troubleshooting, a prompt replacement, or a refund. For full details, please see our Terms & Conditions and Buying Guide. Contact us at support@biorbyt.com.

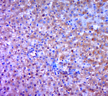
Paraformaldehyde-fixed, paraffin embedded (rat liver tissue), Antigen retrieval by boiling in sodium citrate buffer (pH6.0) for 15 min, Block endogenous peroxidase by 3% hydrogen peroxide for 20 minutes, Blocking buffer (normal goat serum) at 37°C for 30 min, Antibody incubation with (p-EGFR (Tyr1197)) Polyclonal Antibody, Unconjugated (orb5128) at 1:400 overnight at 4°C, followed by a conjugated secondary for 20 minutes and DAB staining.
Quick Database Links
UniProt Details
−Documents Download
Request a Document
Protocol Information
Phospho-EGFR (Tyr1197) Rabbit Polyclonal Antibody (orb5128)
Participating in our Biorbyt product reviews program enables you to support fellow scientists by sharing your firsthand experience with our products.
Login to Submit a Review