You have no items in your shopping cart.
Phospho-p53BP1 (Ser25 + Ser29) Rabbit Polyclonal Antibody
Description
Images & Validation
−| Tested Applications | IF, IHC-Fr, IHC-P |
|---|---|
| Dilution range | IHC-P=1:100-500, IHC-F=1:100-500, IF=1:100-500 |
| Reactivity | Mouse, Rat |
| Predicted Reactivity | Bovine, Canine, Equine, Human, Porcine, Rabbit |
Related Conjugates & Formulations
−Key Properties
−| Antibody Type | Primary Antibody |
|---|---|
| Host | Rabbit |
| Clonality | Polyclonal |
| Isotype | IgG |
| Immunogen | KLH conjugated Synthesised phosphopeptide derived from human p53BP1 around the phosphorylation site of Ser25/29 ED(p-S)QPE(p-S)QV |
| Target | TP53BP1 |
| Molecular Weight | 213 kDa |
| Purification | Affinity purified by Protein A |
| Conjugation | Unconjugated |
Storage & Handling
−| Storage | Maintain refrigerated at 2-8°C for up to 2 weeks. For long term storage store at -20°C in small aliquots to prevent freeze-thaw cycles. |
|---|---|
| Form/Appearance | Liquid |
| Buffer/Preservatives | 0.01M TBS (pH7.4) with 1% rAlbumin, 0.02% Proclin300 and 50% Glycerol. |
| Concentration | 1mg/ml |
| Disclaimer | For research use only |
Alternative Names
−Similar Products
−Phospho-p53BP1 (Ser25 + Ser29) Rabbit Polyclonal Antibody (Biotin) [orb502105]
IF, IHC-Fr, IHC-P
Bovine, Canine, Equine, Human, Porcine, Rabbit
Mouse, Rat
Rabbit
Polyclonal
Biotin
100 μlPhospho-p53BP1 (Ser25 + Ser29) Rabbit Polyclonal Antibody (HRP) [orb504031]
IHC-Fr, IHC-P
Bovine, Canine, Equine, Human, Porcine, Rabbit
Mouse, Rat
Rabbit
Polyclonal
HRP
100 μlPhospho-p53BP1 (Ser25 + Ser29) Rabbit Polyclonal Antibody (PE) [orb505030]
IF
Bovine, Canine, Equine, Human, Porcine, Rabbit
Mouse, Rat
Rabbit
Polyclonal
PE
100 μlPhospho-p53BP1 (Ser25 + Ser29) Rabbit Polyclonal Antibody (FITC) [orb9451]
IF
Bovine, Canine, Equine, Human, Porcine, Rabbit
Mouse, Rat
Rabbit
Polyclonal
FITC
100 μlPhospho-p53BP1 (Ser25 + Ser29) Rabbit Polyclonal Antibody (AP) [orb903589]
IHC-Fr, IHC-P
Bovine, Canine, Equine, Human, Porcine, Rabbit
Mouse, Rat
Rabbit
Polyclonal
AP
100 μl

Quality Guarantee
Explore bioreagents carefree to elevate your research. All our products are rigorously tested for performance. If a product does not perform as described on its datasheet, our scientific support team will provide expert troubleshooting, a prompt replacement, or a refund. For full details, please see our Terms & Conditions and Buying Guide. Contact us at support@biorbyt.com.

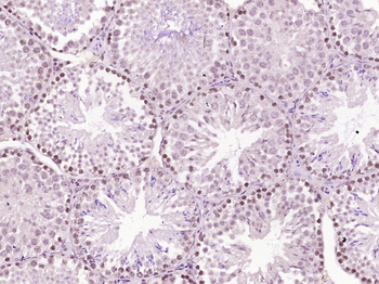
Paraformaldehyde-fixed, paraffin embedded (Mouse testis), Antigen retrieval by boiling in sodium citrate buffer (pH6.0) for 15 min, Block endogenous peroxidase by 3% hydrogen peroxide for 20 minutes, Blocking buffer (normal goat serum) at 37°C for 30 min, Antibody incubation with (phospho-p53BP1 (Ser25 + Ser29)) Polyclonal Antibody, Unconjugated (orb6603) at 1:400 overnight at 4°C, followed by operating according to SP Kit (Rabbit) instructionsand DAB staining.

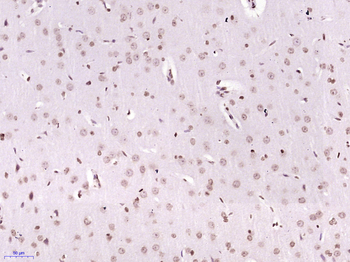
Paraformaldehyde-fixed, paraffin embedded (Rat brain), Antigen retrieval by boiling in sodium citrate buffer (pH6.0) for 15 min, Block endogenous peroxidase by 3% hydrogen peroxide for 20 minutes, Blocking buffer (normal goat serum) at 37°C for 30 min, Antibody incubation with (phospho-p53BP1 (Ser25 + Ser29)) Polyclonal Antibody, Unconjugated (orb6603) at 1:400 overnight at 4°C, followed by operating according to SP Kit (Rabbit) instructionsand DAB staining.
Quick Database Links
UniProt Details
−Documents Download
Request a Document
Protocol Information
Phospho-p53BP1 (Ser25 + Ser29) Rabbit Polyclonal Antibody (orb6603)
Participating in our Biorbyt product reviews program enables you to support fellow scientists by sharing your firsthand experience with our products.
Login to Submit a Review