You have no items in your shopping cart.
POLG Rabbit Polyclonal Antibody
Description
Research Area
Images & Validation
−| Tested Applications | IF, IHC-Fr, IHC-P |
|---|---|
| Dilution Range | IHC-P=1:100-500, IHC-F=1:100-500, IF=1:100-500 |
| Reactivity | Human |
| Predicted Reactivity | Mouse, Porcine, Rat |
Related Conjugates & Formulations
−Key Properties
−| Antibody Type | Primary Antibody |
|---|---|
| Host | Rabbit |
| Clonality | Polyclonal |
| Isotype | IgG |
| Immunogen | KLH conjugated synthetic peptide derived from human POLG (1101-1239/1239aa) |
| Target | POLG |
| Molecular Weight | 140 kDa |
| Purification | Affinity purified by Protein A |
| Conjugation | Unconjugated |
Storage & Handling
−| Storage | Maintain refrigerated at 2-8°C for up to 2 weeks. For long term storage store at -20°C in small aliquots to prevent freeze-thaw cycles. |
|---|---|
| Form/Appearance | Liquid |
| Buffer/Preservatives | 0.01M TBS (pH7.4) with 1% rAlbumin, 0.02% Proclin300 and 50% Glycerol. |
| Concentration | 1mg/ml |
| Expiration Date | 12 months from date of receipt. |
| Disclaimer | For research use only |
Alternative Names
−Similar Products
−DNA Polymerase gamma 2 Rabbit Polyclonal Antibody [orb304511]
IHC, WB
Human, Mouse, Rat
Rabbit
Polyclonal
Unconjugated
30 μl, 200 μl, 100 μl, 50 μlDNA Polymerase gamma 2 Antibody [orb2650634]
IHC, WB
Human, Mouse, Rat
Rabbit
Polyclonal
Unconjugated
50 μlPolg Rabbit Polyclonal Antibody [orb580457]
WB
Bovine, Canine, Equine, Guinea pig, Human, Mouse, Yeast, Zebrafish
Rat
Rabbit
Polyclonal
Unconjugated
100 μl

Quality Guarantee
Explore bioreagents carefree to elevate your research. All our products are rigorously tested for performance. If a product does not perform as described on its datasheet, our scientific support team will provide expert troubleshooting, a prompt replacement, or a refund. For full details, please see our Terms & Conditions and Buying Guide. Contact us at support@biorbyt.com.

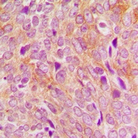
Tissue/Cell: human colon cancer, 4% Paraformaldehyde-fixed and paraffin-embedded, Antigen retrieval: citrate buffer (0.01M, pH 6.0), Boiling bathing for 15 min, Block endogenous peroxidase by 3% Hydrogen peroxide for 30 min, Blocking buffer (normal goat serum) at 37°C for 20 min, Incubation: Anti-MDP1 / DNA Polymerase gamma Polyclonal Antibody, Unconjugated (orb156612) 1:200, overnight at 4°C, followed by conjugation to the secondary antibody and DAB staining.

Tissue/Cell: human laryngeal tissue, 4% Paraformaldehyde-fixed and paraffin-embedded, Antigen retrieval: citrate buffer (0.01M, pH 6.0), Boiling bathing for 15 min, Block endogenous peroxidase by 3% Hydrogen peroxide for 30 min, Blocking buffer (normal goat serum) at 37°C for 20 min, Incubation: Anti-MDP1 / DNA Polymerase gamma Polyclonal Antibody, Unconjugated (orb156612) 1:200, overnight at 4°C, followed by conjugation to the secondary antibody and DAB staining.
Quick Database Links
UniProt Details
−Documents Download
Request a Document
Protocol Information
POLG Rabbit Polyclonal Antibody (orb156612)
Participating in our Biorbyt product reviews program enables you to support fellow scientists by sharing your firsthand experience with our products.
Login to Submit a Review






