You have no items in your shopping cart.
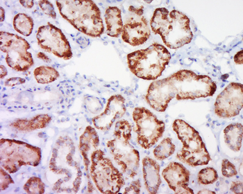
- Human NaPi2a [orb2992521]
SDS-PAGE: Greater than 85% as determined by reducing SDS-PAGE. (QC verified)
Predicted: 70.8 kDa. Observed: 70-110 kDa, reducing conditions
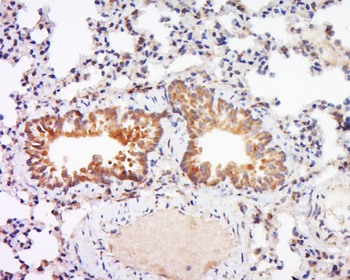
1 mg, 500 μg, 50 μg, 10 μg - SLC34A1 Rabbit Polyclonal Antibody [orb499592]Featured

IF, IHC-Fr, IHC-P
Human, Rat
Feline, Mouse, Porcine, Rabbit, Sheep
Rabbit
Polyclonal
Unconjugated
100 μl, 50 μl, 200 μl - SLC34A1/NPT2 Antibody [orb1536667]
IF, IHC, IHC-P, WB
Human, Mouse, Rat
Rabbit
Polyclonal
Unconjugated
50 μl - SLC34A1 Rabbit Polyclonal Antibody (FITC) [orb463033]
IF
Human, Rat
Feline, Mouse, Porcine, Rabbit, Sheep
Rabbit
Polyclonal
FITC
100 μl - SLC34A1 Rabbit Polyclonal Antibody [orb578958]
WB
Rat
Bovine, Canine, Equine, Guinea pig, Human, Mouse, Porcine, Rabbit, Sheep
Rabbit
Polyclonal
Unconjugated
100 μl











