You have no items in your shopping cart.
Raptor Rabbit Polyclonal Antibody
Description
Research Area
Images & Validation
−| Tested Applications | IF, IHC-Fr, IHC-P |
|---|---|
| Dilution Range | IHC-P=1:100-500, IHC-F=1:100-500, IF=1:100-500 |
| Reactivity | Human |
| Predicted Reactivity | Bovine, Equine, Gallus, Mouse, Porcine, Rat, Sheep |
Related Conjugates & Formulations
−Key Properties
−| Antibody Type | Primary Antibody |
|---|---|
| Host | Rabbit |
| Clonality | Polyclonal |
| Isotype | IgG |
| Immunogen | KLH conjugated synthetic peptide derived from human Raptor (101-200/1335aa) |
| Target | RPTOR |
| Molecular Weight | 147 kDa |
| Purification | Affinity purified by Protein A |
| Conjugation | Unconjugated |
Storage & Handling
−| Storage | Maintain refrigerated at 2-8°C for up to 2 weeks. For long term storage store at -20°C in small aliquots to prevent freeze-thaw cycles. |
|---|---|
| Form/Appearance | Liquid |
| Buffer/Preservatives | 0.01M TBS (pH7.4) with 1% rAlbumin, 0.02% Proclin300 and 50% Glycerol. |
| Concentration | 1mg/ml |
| Expiration Date | 12 months from date of receipt. |
| Disclaimer | For research use only |
Alternative Names
−Similar Products
−Phospho-Raptor (Ser792) Rabbit Polyclonal Antibody [orb6837]
IF, IHC-Fr, IHC-P
Bovine, Canine, Equine, Gallus, Guinea pig, Porcine, Rat, Sheep, Zebrafish
Human, Mouse
Rabbit
Polyclonal
Unconjugated
50 μl, 200 μl, 100 μlRPTOR Rabbit Polyclonal Antibody [orb630522]
ELISA, IF, IHC, IP, WB
Human, Rat
Rabbit
Polyclonal
Unconjugated
50 μg, 100 μgRPTOR Rabbit Polyclonal Antibody [orb2954100]
ELISA, IHC, WB
Human, Mouse
Rabbit
Polyclonal
Unconjugated
100 μg, 50 μgRaptor/RPTOR Rabbit Polyclonal Antibody [orb745924]
ELISA, WB
Human, Mouse, Rat
Rabbit
Polyclonal
Unconjugated
100 μgRAPTOR Rabbit Polyclonal Antibody [orb668006]
WB
Human, Mouse, Rat
Rabbit
Polyclonal
Unconjugated
50 μl, 100 μl, 200 μl, 30 μl

Quality Guarantee
Explore bioreagents carefree to elevate your research. All our products are rigorously tested for performance. If a product does not perform as described on its datasheet, our scientific support team will provide expert troubleshooting, a prompt replacement, or a refund. For full details, please see our Terms & Conditions and Buying Guide. Contact us at support@biorbyt.com.

Paraformaldehyde-fixed, paraffin embedded (mouse placenta), Antigen retrieval by boiling in sodium citrate buffer (pH6.0) for 15 min, Block endogenous peroxidase by 3% hydrogen peroxide for 20 minutes, Blocking buffer (normal goat serum) at 37°C for 30 min, Antibody incubation with (Raptor) Polyclonal Antibody, Unconjugated (orb6836) at 1:400 overnight at 4°C, followed by a conjugated secondary for 20 minutes and DAB staining.

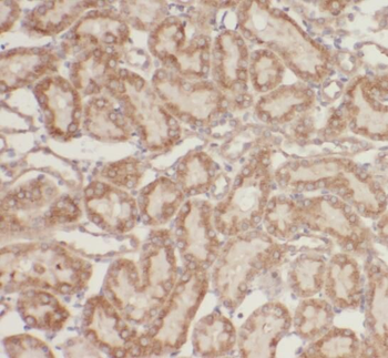
Paraformaldehyde-fixed, paraffin embedded (rat kidney), Antigen retrieval by boiling in sodium citrate buffer (pH6.0) for 15 min, Block endogenous peroxidase by 3% hydrogen peroxide for 20 minutes, Blocking buffer (normal goat serum) at 37°C for 30 min, Antibody incubation with (Raptor) Polyclonal Antibody, Unconjugated (orb6836) at 1:400 overnight at 4°C, followed by a conjugated secondary for 20 minutes and DAB staining.

Paraformaldehyde-fixed, paraffin embedded (rat small intestine), Antigen retrieval by boiling in sodium citrate buffer (pH6) for 15 min, Block endogenous peroxidase by 3% hydrogen peroxide for 20 minutes, Blocking buffer (normal goat serum) at 37°C for 30 min, Antibody incubation with (Raptor) Polyclonal Antibody, Unconjugated (orb6836) at 1:200 overnight at 4°C, followed by a conjugated secondary (orb868589) at 1:500 for 90 minutes and DAPI staining of the nuclei.

Sample: A549 (human) cell Lysate at 40 ug, Primary: Anti-Raptor (orb6836) at 1/300 dilution, Secondary: IRDye800CW Goat Anti-Rabbit IgG at 1/20000 dilution, Predicted band size: 147kD, Observed band size: 135 kD.

Sample: Placenta (mouse) Lysate at 40 ug, Primary: Anti-Raptor (orb6836) at 1/300 dilution, Secondary: IRDye800CW Goat Anti-Rabbit IgG at 1/20000 dilution, Predicted band size: 147kD, Observed band size: 135 kD.
Quick Database Links
UniProt Details
−Documents Download
Request a Document
Protocol Information
Raptor Rabbit Polyclonal Antibody (orb6836)
Participating in our Biorbyt product reviews program enables you to support fellow scientists by sharing your firsthand experience with our products.
Login to Submit a Review







