You have no items in your shopping cart.
SDHB Rabbit Polyclonal Antibody
Description
Research Area
Images & Validation
−| Tested Applications | WB |
|---|---|
| Reactivity | Human |
| Predicted Reactivity | Bovine, Canine, Equine, Goat, Guinea pig, Mouse, Rabbit, Rat, Yeast, Zebrafish |
Key Properties
−| Host | Rabbit |
|---|---|
| Clonality | Polyclonal |
| Immunogen | The immunogen is a synthetic peptide directed towards the middle region of human SDHB |
| Target | SDHB |
| Protein Sequence | Synthetic peptide located within the following region: YRWMIDSRDDFTEERLAKLQDPFSLYRCHTIMNCTRTCPKGLNPGKAIAE |
| Molecular Weight | 32 kDa |
| Purification | Affinity Purified |
| Conjugation | Unconjugated |
Storage & Handling
−| Storage | Maintain refrigerated at 2-8°C for up to 2 weeks. For long term storage store at -20°C in small aliquots to prevent freeze-thaw cycles. |
|---|---|
| Buffer/Preservatives | Liquid. Purified antibody supplied in 1x PBS buffer with 0.09% (w/v) sodium azide and 2% sucrose. |
| Concentration | 0.5 mg/ml |
| Expiration Date | 12 months from date of receipt. |
| Disclaimer | For research use only |
Alternative Names
−Similar Products
−SDHB rabbit pAb Antibody [orb767055]
ELISA, IF, IHC, WB
Fish, Human, Mouse, Rat
Polyclonal
Unconjugated
100 μlSDHB antibody [C2C3], C-term [orb556185]
ICC, IHC-P, WB
Human, Mouse
Rabbit
Polyclonal
Unconjugated
100 μlSDHB Rabbit Polyclonal Antibody [orb402230]
ELISA, FC, IHC, WB
Human, Mouse, Rat
Rabbit
Polyclonal
Unconjugated
100 μgSDHB Rabbit Polyclonal Antibody [orb631031]
ELISA, IHC, IP, WB
Human, Mouse, Rat
Rabbit
Polyclonal
Unconjugated
50 μg, 100 μg

Quality Guarantee
Explore bioreagents carefree to elevate your research. All our products are rigorously tested for performance. If a product does not perform as described on its datasheet, our scientific support team will provide expert troubleshooting, a prompt replacement, or a refund. For full details, please see our Terms & Conditions and Buying Guide. Contact us at support@biorbyt.com.

Sample Type: Human Fetal Liver, Antibody dilution: 1.0 ug/ml.

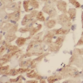
Sample Type: Human Fetal Heart, Antibody dilution: 1.0 ug/ml.

Sample Tissue: Human Fetal Lung, Antibody dilution: 1.0 ug/ml.

Sample Type: Human Adult Placenta, Antibody dilution: 1.0 ug/ml.

Positive control (+): Human Liver (LI), Negative control (-): Human Lung (LU), Antibody concentration: 1 ug/ml.

WB Suggested Anti-SDHB Antibody Titration: 0.2-1 ug/ml, ELISA Titer: 1:62500, Positive Control: Jurkat cell lysate, SDHB is supported by BioGPS gene expression data to be expressed in Jurkat.
Documents Download
Request a Document
SDHB Rabbit Polyclonal Antibody (orb330526)
Participating in our Biorbyt product reviews program enables you to support fellow scientists by sharing your firsthand experience with our products.
Login to Submit a Review



![SDHB antibody [C2C3], C-term](/images/pub/media/catalog/product/s/d/sdhb-antibody_orb556185_ifa_1.jpg)
![SDHB antibody [C2C3], C-term](/images/pub/media/catalog/product/s/d/sdhb-antibody_orb556185_ihc_1.jpg)
![SDHB antibody [C2C3], C-term](/images/pub/media/catalog/product/s/d/sdhb-antibody_orb556185_ihc_2.jpg)
![SDHB antibody [C2C3], C-term](/images/pub/media/catalog/product/s/d/sdhb-antibody_orb556185_wb_1.jpg)
![SDHB antibody [C2C3], C-term](/images/pub/media/catalog/product/s/d/sdhb-antibody_orb556185_wb_2.jpg)
![SDHB antibody [C2C3], C-term](/images/pub/media/catalog/product/f/u/fus2-antibody_orb556186_wb_1.jpg)









