You have no items in your shopping cart.
Sodium Potassium ATPase Recombinant Rabbit Monoclonal Antibody
Description
Images & Validation
−| Tested Applications | FC, ICC, IF, IHC-Fr, IHC-P, WB |
|---|---|
| Dilution Range | WB=1:2000-20000, IHC-P=1:100-500, IHC-F=1:100-500, ICC/IF=1:50-200, IF=1:100-500, Flow-Cyt=1ug/Test |
| Reactivity | Human, Mouse, Rat |
| Predicted Reactivity | Mouse, Rat |
Related Conjugates & Formulations
−Key Properties
−| Antibody Type | Primary Antibody |
|---|---|
| Host | Rabbit |
| Clonality | Recombinant |
| Isotype | IgG |
| Clone No. | 13H5 |
| Immunogen | Recombinant human Sodium Potassium ATPase aa 1-100 |
| Target | ATP1A1 |
| Molecular Weight | 113 kDa |
| Purification | Affinity purified by Protein A |
| Conjugation | Unconjugated |
Storage & Handling
−| Storage | Maintain refrigerated at 2-8°C for up to 2 weeks. For long term storage store at -20°C in small aliquots to prevent freeze-thaw cycles. |
|---|---|
| Form/Appearance | Liquid |
| Buffer/Preservatives | 0.01M TBS (pH7.4) with 1% rAlbumin, 0.02% Proclin300 and 50% Glycerol. |
| Concentration | 1mg/ml |
| Expiration Date | 12 months from date of receipt. |
| Disclaimer | For research use only |
Alternative Names
−Similar Products
−ATP1B1 Recombinant Rabbit Monoclonal Antibody [orb2563037]
IF, IHC-Fr, IHC-P
Mouse, Rat
Human, Mouse, Rat
Rabbit
Recombinant
Unconjugated
25 μl, 50 μl, 100 μlATP1B3 Recombinant Rabbit Monoclonal Antibody [orb2562104]
IF, IHC-Fr, IHC-P, WB
Mouse, Rat
Human
Rabbit
Recombinant
Unconjugated
25 μl, 50 μl, 100 μlSodium Potassium ATPase Recombinant Rabbit Monoclonal Antibody (BF750) [orb1587592]
ICC, IF
Human, Mouse, Rat
Rabbit
Recombinant
BF750
100 μlSodium Potassium ATPase Recombinant Rabbit Monoclonal Antibody (BF680) [orb1587593]
ICC, IF
Human, Mouse, Rat
Rabbit
Recombinant
BF680
100 μlSodium Potassium ATPase Recombinant Rabbit Monoclonal Antibody (BF647) [orb1587594]
ICC, IF
Human, Mouse, Rat
Rabbit
Recombinant
BF647
100 μl

Quality Guarantee
Explore bioreagents carefree to elevate your research. All our products are rigorously tested for performance. If a product does not perform as described on its datasheet, our scientific support team will provide expert troubleshooting, a prompt replacement, or a refund. For full details, please see our Terms & Conditions and Buying Guide. Contact us at support@biorbyt.com.

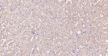
Paraformaldehyde-fixed, paraffin embedded Human Liver, Antigen retrieval by boiling in sodium citrate buffer (pH6.0) for 15 min, Antibody incubation with Sodium Potassium ATPase Monoclonal Antibody, Unconjugated (orb559158) at 1:100overnight at 4°C, followed by conjugation to the SP Kit (Rabbit) and DAB staining.

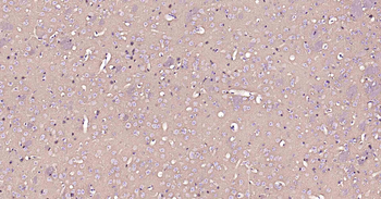
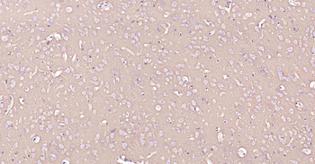
Paraformaldehyde-fixed, paraffin embedded Mouse Cerebrum, Antigen retrieval by boiling in sodium citrate buffer (pH6.0) for 15 min, Antibody incubation with Sodium Potassium ATPase Monoclonal Antibody, Unconjugated (orb559158) at 1:100overnight at 4°C, followed by conjugation to the SP Kit (Rabbit) and DAB staining.

Paraformaldehyde-fixed, paraffin embedded Mouse Colon, Antigen retrieval by boiling in sodium citrate buffer (pH6.0) for 15 min, Antibody incubation with Sodium Potassium ATPase Monoclonal Antibody, Unconjugated (orb559158) at 1:100overnight at 4°C, followed by conjugation to the SP Kit (Rabbit) and DAB staining.

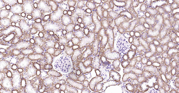
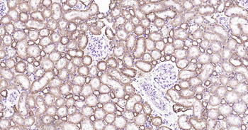
Paraformaldehyde-fixed, paraffin embedded Mouse Kidney, Antigen retrieval by boiling in sodium citrate buffer (pH6.0) for 15 min, Antibody incubation with Sodium Potassium ATPase Monoclonal Antibody, Unconjugated (orb559158) at 1:100overnight at 4°C, followed by conjugation to the SP Kit (Rabbit) and DAB staining.

25 ug total protein per lane of various lysates probed with Sodium Potassium ATPase monoclonal antibody, unconjugated (orb559158) at 1:2000 dilution and 4°C overnight incubation. Followed by conjugated secondary antibody incubation at r.t. for 60 min.

25 ug total protein per lane of various lysates probed with Sodium Potassium ATPase monoclonal antibody, unconjugated (orb559158) at 1:20000 dilution and 4°C overnight incubation. Followed by conjugated secondary antibody incubation at r.t. for 60 min.

Paraformaldehyde-fixed, paraffin embedded Human Cerebrum, Antigen retrieval by boiling in sodium citrate buffer (pH6.0) for 15 min, Antibody incubation with Sodium Potassium ATPase Monoclonal Antibody, Unconjugated (orb559158) at 1:100overnight at 4°C, followed by conjugation to the SP Kit (Rabbit) and DAB staining.

Paraformaldehyde-fixed, paraffin embedded Human Cervical Cancer, Antigen retrieval by boiling in sodium citrate buffer (pH6.0) for 15 min, Antibody incubation with Sodium Potassium ATPase Monoclonal Antibody, Unconjugated (orb559158) at 1:100overnight at 4°C, followed by conjugation to the SP Kit (Rabbit) and DAB staining.

Paraformaldehyde-fixed, paraffin embedded Human Colon, Antigen retrieval by boiling in sodium citrate buffer (pH6.0) for 15 min, Antibody incubation with Sodium Potassium ATPase Monoclonal Antibody, Unconjugated (orb559158) at 1:100overnight at 4°C, followed by conjugation to the SP Kit (Rabbit) and DAB staining.

Paraformaldehyde-fixed, paraffin embedded Human Fundus, Antigen retrieval by boiling in sodium citrate buffer (pH6.0) for 15 min, Antibody incubation with Sodium Potassium ATPase Monoclonal Antibody, Unconjugated (orb559158) at 1:100overnight at 4°C, followed by conjugation to the SP Kit (Rabbit) and DAB staining.

Paraformaldehyde-fixed, paraffin embedded Human Heart, Antigen retrieval by boiling in sodium citrate buffer (pH6.0) for 15 min, Antibody incubation with Sodium Potassium ATPase Monoclonal Antibody, Unconjugated (orb559158) at 1:100overnight at 4°C, followed by conjugation to the SP Kit (Rabbit) and DAB staining.

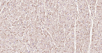
Paraformaldehyde-fixed, paraffin embedded Mouse Liver, Antigen retrieval by boiling in sodium citrate buffer (pH6.0) for 15 min, Antibody incubation with Sodium Potassium ATPase Monoclonal Antibody, Unconjugated (orb559158) at 1:100overnight at 4°C, followed by conjugation to the SP Kit (Rabbit) and DAB staining.

Paraformaldehyde-fixed, paraffin embedded Mouse Small Intestine, Antigen retrieval by boiling in sodium citrate buffer (pH6.0) for 15 min, Antibody incubation with Sodium Potassium ATPase Monoclonal Antibody, Unconjugated (orb559158) at 1:100overnight at 4°C, followed by conjugation to the SP Kit (Rabbit) and DAB staining.

Paraformaldehyde-fixed, paraffin embedded Mouse Stomach, Antigen retrieval by boiling in sodium citrate buffer (pH6.0) for 15 min, Antibody incubation with Sodium Potassium ATPase Monoclonal Antibody, Unconjugated (orb559158) at 1:100overnight at 4°C, followed by conjugation to the SP Kit (Rabbit) and DAB staining.

Paraformaldehyde-fixed, paraffin embedded Rat Cerebrum, Antigen retrieval by boiling in sodium citrate buffer (pH6.0) for 15 min, Antibody incubation with Sodium Potassium ATPase Monoclonal Antibody, Unconjugated (orb559158) at 1:100overnight at 4°C, followed by conjugation to the SP Kit (Rabbit) and DAB staining.

Paraformaldehyde-fixed, paraffin embedded Rat Colon, Antigen retrieval by boiling in sodium citrate buffer (pH6.0) for 15 min, Antibody incubation with Sodium Potassium ATPase Monoclonal Antibody, Unconjugated (orb559158) at 1:100overnight at 4°C, followed by conjugation to the SP Kit (Rabbit) and DAB staining.

Paraformaldehyde-fixed, paraffin embedded Rat Kidney, Antigen retrieval by boiling in sodium citrate buffer (pH6.0) for 15 min, Antibody incubation with Sodium Potassium ATPase Monoclonal Antibody, Unconjugated (orb559158) at 1:100overnight at 4°C, followed by conjugation to the SP Kit (Rabbit) and DAB staining.

Paraformaldehyde-fixed, paraffin embedded Rat Liver, Antigen retrieval by boiling in sodium citrate buffer (pH6.0) for 15 min, Antibody incubation with Sodium Potassium ATPase Monoclonal Antibody, Unconjugated (orb559158) at 1:100overnight at 4°C, followed by conjugation to the SP Kit (Rabbit) and DAB staining.

Paraformaldehyde-fixed, paraffin embedded Rat Small Intestine, Antigen retrieval by boiling in sodium citrate buffer (pH6.0) for 15 min, Antibody incubation with Sodium Potassium ATPase Monoclonal Antibody, Unconjugated (orb559158) at 1:100overnight at 4°C, followed by conjugation to the SP Kit (Rabbit) and DAB staining.

Paraformaldehyde-fixed, paraffin embedded Rat Stomach, Antigen retrieval by boiling in sodium citrate buffer (pH6.0) for 15 min, Antibody incubation with Sodium Potassium ATPase Monoclonal Antibody, Unconjugated (orb559158) at 1:100overnight at 4°C, followed by conjugation to the SP Kit (Rabbit) and DAB staining.
Quick Database Links
UniProt Details
−Documents Download
Request a Document
Protocol Information
Sodium Potassium ATPase Recombinant Rabbit Monoclonal Antibody (orb559158)
Participating in our Biorbyt product reviews program enables you to support fellow scientists by sharing your firsthand experience with our products.
Login to Submit a Review










