You have no items in your shopping cart.
STAT3 Rabbit Polyclonal Antibody
Description
Research Area
Images & Validation
−| Tested Applications | IF, IHC, WB |
|---|---|
| Reactivity | Human, Mouse |
| Predicted Reactivity | Bovine, Canine, Equine, Guinea pig, Rabbit, Rat, Zebrafish |
Key Properties
−| Host | Rabbit |
|---|---|
| Clonality | Polyclonal |
| Immunogen | The immunogen is a synthetic peptide directed towards the N terminal region of human STAT3 |
| Target | STAT3 |
| Protein Sequence | Synthetic peptide located within the following region: AQWNQLQQLDTRYLEQLHQLYSDSFPMELRQFLAPWIESQDWAYAASKES |
| Molecular Weight | 88 kDa |
| Purification | Affinity Purified |
| Conjugation | Unconjugated |
Storage & Handling
−| Storage | Maintain refrigerated at 2-8°C for up to 2 weeks. For long term storage store at -20°C in small aliquots to prevent freeze-thaw cycles. |
|---|---|
| Buffer/Preservatives | Liquid. Purified antibody supplied in 1x PBS buffer with 0.09% (w/v) sodium azide and 2% sucrose. |
| Concentration | 0.5 mg/ml |
| Expiration Date | 12 months from date of receipt. |
| Disclaimer | For research use only |
Alternative Names
−Similar Products
−Phospho-STAT3 (Tyr705) Rabbit Polyclonal Antibody [orb106147]
WB
Bovine, Canine, Guinea pig, Porcine, Rabbit, Sheep
Mouse, Rat
Rabbit
Polyclonal
Unconjugated
50 μl, 100 μl, 200 μlSTAT3 Rabbit Polyclonal Antibody [orb308806]
FC, ICC, IF, IHC, WB
Human, Mouse, Rat
Rabbit
Polyclonal
Unconjugated
100 μgStat3 Polyclonal Antibody [orb1412088]
IF, IHC-P, WB
Human, Mouse, Rat
Rabbit
Polyclonal
Unconjugated
100 μlStat3 (phospho Ser727) Polyclonal Antibody [orb1415297]
IF, IHC-P, IP, WB
Human, Mouse, Rat
Rabbit
Polyclonal
Unconjugated
100 μlSTAT3 Rabbit Polyclonal Antibody [orb592766]
IHC, WB
Bovine, Canine, Equine, Guinea pig, Mouse, Porcine, Rabbit, Rat, Sheep
Human
Rabbit
Polyclonal
Unconjugated
100 μl

Quality Guarantee
Explore bioreagents carefree to elevate your research. All our products are rigorously tested for performance. If a product does not perform as described on its datasheet, our scientific support team will provide expert troubleshooting, a prompt replacement, or a refund. For full details, please see our Terms & Conditions and Buying Guide. Contact us at support@biorbyt.com.

25 ug of the indicated Human whole cell extracts was loaded onto a 12% SDS-PAGE gel. 1 ug/ml of the antibody was used in this experiment. The immunizing peptide Is present in multiple isoforms from 83-88 kDa, as well as contained within a 49 kDa smaller i.

Positive control (+): A549 (N03), Negative control (-): HepG2 (HG), Antibody concentration: 1 ug/ml.

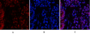
Immunofluorescence - Sample Type: Macrophages, Dilution: 1:1000.

Immunohistochemistry with Human kidney lysate tissue.

Immunohistochemistry with human prostate tissue tissue.

Immunohistochemistry with Human Uterus lysate tissue.

Surface Plasmon Resonance Kinetic Characterization of Polyclonal Antibody Affinity. Purified polyclonal antibodies were immobilized on a Protein A/G coated Carterra LSA sensor chip (PAGH200M) at concentrations of 0.5, 5, and 50 ug/ml. Antibodies on the surface were exposed to interaction with peptides sequentially via microfluidic controlled flow at 333nM peptide concentration for kinetic characterization of the binders for affinity and specificity, followed by curve fitting using the Kinetics software. Kd determinations for either two or three concentrations were averaged and results and standard deviation are shown.

WB Suggested Anti-STAT3 Antibody Titration: 0.2-1 ug/ml, ELISA Titer: 1:1562500, Positive Control: Human Liver.
Documents Download
Request a Document
Protocol Information
STAT3 Rabbit Polyclonal Antibody (orb576591)
Participating in our Biorbyt product reviews program enables you to support fellow scientists by sharing your firsthand experience with our products.
Login to Submit a Review




































