You have no items in your shopping cart.
STAT5B Rabbit Polyclonal Antibody
Description
Research Area
Images & Validation
−| Tested Applications | IHC, WB |
|---|---|
| Reactivity | Human |
| Predicted Reactivity | Bovine, Canine, Equine, Goat, Guinea pig, Mouse, Porcine, Rabbit, Rat, Sheep, Zebrafish |
Key Properties
−| Host | Rabbit |
|---|---|
| Clonality | Polyclonal |
| Immunogen | The immunogen is a synthetic peptide directed towards the N terminal region of human STAT5B |
| Target | STAT5B |
| Protein Sequence | Synthetic peptide located within the following region: AVWIQAQQLQGEALHQMQALYGQHFPIEVRHYLSQWIESQAWDSVDLDNP |
| Molecular Weight | 90kDa |
| Purification | Affinity Purified |
| Conjugation | Unconjugated |
Storage & Handling
−| Storage | Maintain refrigerated at 2-8°C for up to 2 weeks. For long term storage store at -20°C in small aliquots to prevent freeze-thaw cycles. |
|---|---|
| Buffer/Preservatives | Liquid. Purified antibody supplied in 1x PBS buffer with 0.09% (w/v) sodium azide and 2% sucrose. |
| Concentration | 0.5 mg/ml |
| Expiration Date | 12 months from date of receipt. |
| Disclaimer | For research use only |
Alternative Names
−Similar Products
−STAT5 Rabbit Polyclonal Antibody [orb11432]
ELISA, FC, ICC, IF, IHC-Fr, IHC-P
Bovine, Canine, Equine, Porcine, Rabbit, Rat
Human, Mouse
Rabbit
Polyclonal
Unconjugated
50 μl, 100 μl, 200 μlSTAT5B Rabbit Polyclonal Antibody [orb385454]
IHC-P, WB
Guinea pig, Human, Mouse, Rat
Rabbit
Polyclonal
Unconjugated
100 μgStat5a/b (phospho Ser726/731) rabbit pAb Antibody [orb770176]
ELISA, IF, IHC, WB
Human, Mouse, Rat
Polyclonal
Unconjugated
100 μl, 50 μlSTAT5b Rabbit Polyclonal Antibody [orb308807]
FC, ICC, IF, WB
Human, Mouse, Rat
Rabbit
Polyclonal
Unconjugated
100 μg

Quality Guarantee
Explore bioreagents carefree to elevate your research. All our products are rigorously tested for performance. If a product does not perform as described on its datasheet, our scientific support team will provide expert troubleshooting, a prompt replacement, or a refund. For full details, please see our Terms & Conditions and Buying Guide. Contact us at support@biorbyt.com.

Anti-STAT5B antibody IHC staining of human placenta. Immunohistochemistry of formalin-fixed, paraffin-embedded tissue after heat-induced antigen retrieval. Antibody concentration 5 ug/ml.

Anti-STAT5B antibody IHC staining of human prostate. Immunohistochemistry of formalin-fixed, paraffin-embedded tissue after heat-induced antigen retrieval. Antibody concentration 5 ug/ml.

Rabbit Anti-STAT5B Antibody, Paraffin Embedded Tissue: Human Testis, Antibody Concentration: 5 ug/ml.

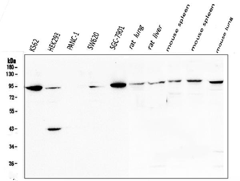
WB Suggested Anti-STAT5B Antibody Titration: 1 ug/ml, Positive Control: 293T cells lysate. There is BioGPS gene expression data showing that STAT5B is expressed in HEK293T.
Documents Download
Request a Document
Protocol Information
STAT5B Rabbit Polyclonal Antibody (orb576926)
Participating in our Biorbyt product reviews program enables you to support fellow scientists by sharing your firsthand experience with our products.
Login to Submit a Review

















