You have no items in your shopping cart.
Description
Research Area
Images & Validation
−| Tested Applications | IHC, WB |
|---|---|
| Reactivity | Human, Mouse |
| Predicted Reactivity | Bovine, Canine, Equine, Guinea pig, Rabbit, Rat, Zebrafish |
Key Properties
−| Host | Rabbit |
|---|---|
| Clonality | Polyclonal |
| Immunogen | The immunogen is a synthetic peptide directed towards the C terminal region of human STK3 |
| Target | STK3 |
| Protein Sequence | Synthetic peptide located within the following region: IEHNSTMLESDLGTMVINSEDEEEEDGTMKRNATSPQVQRPSFMDYFDKQ |
| Molecular Weight | 56kDa |
| Purification | Protein A purified |
| Conjugation | Unconjugated |
Storage & Handling
−| Storage | Maintain refrigerated at 2-8°C for up to 2 weeks. For long term storage store at -20°C in small aliquots to prevent freeze-thaw cycles. |
|---|---|
| Buffer/Preservatives | Liquid. Purified antibody supplied in 1x PBS buffer with 0.09% (w/v) sodium azide and 2% sucrose. |
| Concentration | 1.0 mg/ml |
| Expiration Date | 12 months from date of receipt. |
| Disclaimer | For research use only |
Alternative Names
−Similar Products
−Phospho-MST4 + MST3 + STK25 (Thr178 + Thr190 + Thr174) Rabbit Polyclonal Antibody [orb185140]
IF, IHC-Fr, IHC-P, WB
Bovine, Equine, Sheep
Human, Mouse, Rat
Rabbit
Polyclonal
Unconjugated
100 μl, 50 μl, 200 μlMst2 Rabbit Polyclonal Antibody [orb157906]
ICC, IF, IHC-Fr, IHC-P
Bovine, Canine, Equine, Porcine, Rabbit
Human, Mouse, Rat
Rabbit
Polyclonal
Unconjugated
100 μl, 200 μl, 50 μlSTK3 Rabbit Polyclonal Antibody [orb580491]
WB
Bovine, Canine, Equine, Guinea pig, Porcine, Rabbit, Rat, Zebrafish
Human, Mouse
Rabbit
Polyclonal
Unconjugated
100 μlMST3/STK24 Rabbit Polyclonal Antibody [orb1291730]
ELISA, FC, IHC, WB
Human, Mouse, Rat
Rabbit
Polyclonal
Unconjugated
100 μgMST-3 rabbit pAb Antibody [orb765736]
ELISA, IF, IHC, WB
Human, Mouse, Rat
Polyclonal
Unconjugated
100 μl, 50 μl

Quality Guarantee
Explore bioreagents carefree to elevate your research. All our products are rigorously tested for performance. If a product does not perform as described on its datasheet, our scientific support team will provide expert troubleshooting, a prompt replacement, or a refund. For full details, please see our Terms & Conditions and Buying Guide. Contact us at support@biorbyt.com.

Sample Tissue: Mouse Heart, Antibody dilution: 1 ug/ml.

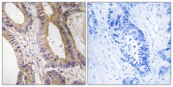
Sample Tissue: Human Lung Tumor, Antibody dilution: 1.0 ug/ml.

Lanes: Lane 1: 100 ug uninduced RPE-1 lysate, Lane 2: 100 ug uninduced RPE-1 lysate, Lane 3: 100 ug STK3 induced RPE-1 lysate, Lane 4: 100 ug STK3 induced RPE-1 lysate, Primary Antibody dilution: 1:2000, Secondary Antibody: Anti-rabbit HRP, Secondary Antibody dilution: 1:5000, Gene Name: STK3.

Lanes: Lane 1: 100 ug untransfected COS-7 lysate, Lane 2: 100 ug mock transfected Cos-7 lysate, Lane 3: 100 ug STK3 transfected Cos-7 lysate, Lane 4: 50 ug STK3 transfected Cos-7 lysate, Lane 5: 25 ug STK3 transfected Cos-7 lysate, Primary Antibody dilution: 1:2000, Secondary Antibody: Anti-rabbit HRP, Secondary Antibody dilution: 1:5000, Gene Name: STK3.

Rabbit Anti-STK3 Antibody, Paraffin Embedded Tissue: Human Kidney, Cellular Data: Epithelial cells of renal tubule, Antibody Concentration: 4.0-8.0 ug/ml, Magnification: 400X.

WB Suggested Anti-STK3 Antibody Titration: 5.0 ug/ml, Positive Control: HepG2 cell lysate.
Documents Download
Request a Document
Protocol Information
STK3 Rabbit Polyclonal Antibody (orb580492)
Participating in our Biorbyt product reviews program enables you to support fellow scientists by sharing your firsthand experience with our products.
Login to Submit a Review


























