You have no items in your shopping cart.
TRAF7 Rabbit Polyclonal Antibody
Description
Research Area
Images & Validation
−| Tested Applications | WB |
|---|---|
| Reactivity | Human |
| Predicted Reactivity | Bovine, Canine, Equine, Guinea pig, Mouse, Porcine, Rat |
Key Properties
−| Host | Rabbit |
|---|---|
| Clonality | Polyclonal |
| Immunogen | The immunogen is a synthetic peptide directed towards the N terminal region of human TRAF7 |
| Target | TRAF7 |
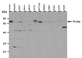
| Molecular Weight | 75 kDa |
| Purification | Affinity Purified |
| Conjugation | Unconjugated |
Storage & Handling
−| Storage | Maintain refrigerated at 2-8°C for up to 2 weeks. For long term storage store at -20°C in small aliquots to prevent freeze-thaw cycles. |
|---|---|
| Buffer/Preservatives | Liquid. Purified antibody supplied in 1x PBS buffer with 0.09% (w/v) sodium azide and 2% sucrose. |
| Concentration | 0.5 mg/ml |
| Disclaimer | For research use only |
Alternative Names
−Similar Products
−TRAF7 Antibody [orb632099]
ELISA, IHC, IP, WB
Human, Mouse, Rat
Rabbit
Polyclonal
Unconjugated
100 μg, 50 μgTRAF7 Antibody [orb1284397]
IHC, WB
Human
Rabbit
Polyclonal
Unconjugated
TRAF7 Rabbit Polyclonal Antibody (HRP) [orb2120840]
WB
Bovine, Canine, Equine, Guinea pig, Human, Mouse, Porcine, Rat
Rabbit
Polyclonal
HRP
100 μl

Quality Guarantee
Explore bioreagents carefree to elevate your research. All our products are rigorously tested for performance. If a product does not perform as described on its datasheet, our scientific support team will provide expert troubleshooting, a prompt replacement, or a refund. For full details, please see our Terms & Conditions and Buying Guide. Contact us at support@biorbyt.com.

25 ug of the indicated Human whole cell extracts was loaded onto a 12% SDS-PAGE gel. 3 ug/ml of the antibody was used in this experiment.

Sample Tissue: Human U937 Whole Cell, Antibody Dilution: 1 ug/ml.

Positive control (+): MCF7 Cell Lysate (N10), Negative control (-): Human Stomach Tumor (T-ST), Antibody concentration: 5 ug/ml.

WB Suggested Anti-TRAF7 Antibody Titration: 0.2-1 ug/ml, ELISA Titer: 1:1562500, Positive Control: Human Stomach.
Documents Download
Request a Document
TRAF7 Rabbit Polyclonal Antibody (orb578799)
Participating in our Biorbyt product reviews program enables you to support fellow scientists by sharing your firsthand experience with our products.
Login to Submit a Review




