You have no items in your shopping cart.
TRAP220 Rabbit Polyclonal Antibody
SKU: orb4582
Description
Research Area
Cell Biology, Coactivators and Corepressors, DNA and RNA Research, Epigenetics and Nuclear Signaling, Lipid Metabolism, Lipids and Lipoproteins Metabolism, Metabolism
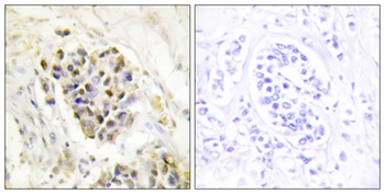
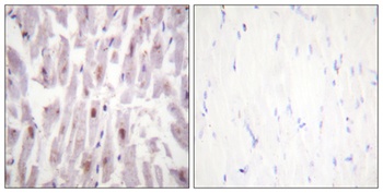
Images & Validation
−
| Tested Applications | ELISA, IF, IHC-Fr, IHC-P |
|---|---|
| Dilution Range | IHC-P=1:100-500, IHC-F=1:100-500, IF=1:100-500, ELISA=1:5000-10000 |
| Reactivity | Human |
| Predicted Reactivity | Bovine, Human, Mouse, Porcine, Rabbit, Rat |
Related Conjugates & Formulations
−Key Properties
−| Antibody Type | Primary Antibody |
|---|---|
| Host | Rabbit |
| Clonality | Polyclonal |
| Isotype | IgG |
| Immunogen | KLH conjugated synthetic peptide derived from human TRAP220/MED1 (1321-1420/1581aa) |
| Target | MED1 |
| Molecular Weight | 168 kDa |
| Purification | Affinity purified by Protein A |
| Conjugation | Unconjugated |
Storage & Handling
−| Storage | Maintain refrigerated at 2-8°C for up to 2 weeks. For long term storage store at -20°C in small aliquots to prevent freeze-thaw cycles. |
|---|---|
| Form/Appearance | Liquid |
| Buffer/Preservatives | 0.01M TBS (pH7.4) with 1% rAlbumin, 0.02% Proclin300 and 50% Glycerol. |
| Concentration | 1mg/ml |
| Expiration Date | 12 months from date of receipt. |
| Disclaimer | For research use only |
Alternative Names
−CRSP1; CRSP200; DRIP205; DRIP230; MED1; MED1_HUMAN; Mediator complex subunit 1; Mediator of RNA polymerase II transcription subunit 1; p53 regulatory protein RB18A; PBP; Peroxisome proliferator-activated receptor-binding protein; PPAR binding protein; PPAR-binding protein; PPARBP; PPARGBP; RB18A; Thyroid hormone receptor-associated protein complex 220 kDa component; Thyroid receptor-interacting protein 2; TR-interacting protein 2; TRAP220; TRIP-2; TRIP2; Vitamin D receptor-interacting protein complex component DRIP205; Activator-recruited cofactor 205 kDa component; ARC205.
Similar Products
−TRAP220 rabbit pAb Antibody [orb766515]
ELISA, IF, IHC, WB
Human, Mouse
Polyclonal
Unconjugated
100 μl, 50 μlTRAP220 (phospho Thr1457) rabbit pAb Antibody [orb769545]
ELISA, IF, IHC, WB
Human, Monkey, Mouse
Polyclonal
Unconjugated
100 μl, 50 μlTRAP220 rabbit pAb Antibody [orb766516]
ELISA, IF, WB
Human, Mouse
Polyclonal
Unconjugated
100 μl, 50 μl

Quality Guarantee
Explore bioreagents carefree to elevate your research. All our products are rigorously tested for performance. If a product does not perform as described on its datasheet, our scientific support team will provide expert troubleshooting, a prompt replacement, or a refund. For full details, please see our Terms & Conditions and Buying Guide. Contact us at support@biorbyt.com.
Quick Database Links
Gene Symbol
MED1
UniProt
UniProt Details
− No UniProt data available
Documents Download
Datasheet
Product Information
Request a Document
Protocol Information
IHC-P
Immunohistochemistry Paraffin
IHC-Fr
Immunohistochemistry Frozen
IF
Immunofluorescence
ELISA
Enzyme-linked Immunosorbent Assay (EIA)
TRAP220 Rabbit Polyclonal Antibody (orb4582)
Based on 0 reviews
Participating in our Biorbyt product reviews program enables you to support fellow scientists by sharing your firsthand experience with our products.
Login to Submit a Review








