You have no items in your shopping cart.
Tubulin, Alpha 4a Rabbit Polyclonal Antibody
Description
Research Area
Images & Validation
−| Tested Applications | FC, IF, IHC-Fr, IHC-P, WB |
|---|---|
| Dilution Range | WB=1:500-2000, IHC-P=1:100-500, IHC-F=1:100-500, IF=1:100-500, Flow-Cyt=1μg/Test |
| Reactivity | Human, Mouse, Rat |
| Predicted Reactivity | Bovine, Canine, Equine, Porcine, Rabbit, Sheep |
Related Conjugates & Formulations
−Key Properties
−| Antibody Type | Primary Antibody |
|---|---|
| Host | Rabbit |
| Clonality | Polyclonal |
| Isotype | IgG |
| Immunogen | KLH conjugated synthetic peptide derived from human Tubulin, Alpha 4a (41-140/448aa) |
| Target | TUBA4A |
| Molecular Weight | 50 kDa |
| Purification | Affinity purified by Protein A |
| Conjugation | Unconjugated |
Storage & Handling
−| Storage | Maintain refrigerated at 2-8°C for up to 2 weeks. For long term storage store at -20°C in small aliquots to prevent freeze-thaw cycles. |
|---|---|
| Form/Appearance | Liquid |
| Buffer/Preservatives | Preservative: 0.02% Proclin300, Constituents: 1% rAlbumin, 0.01M PBS, pH 7.4. |
| Concentration | 1mg/ml |
| Expiration Date | 12 months from date of receipt. |
| Disclaimer | For research use only |
Alternative Names
−Similar Products
−Tubulin-alpha Rabbit Polyclonal Antibody (Loading Control) [orb11535]
FC, IF, IHC-Fr, IHC-P, WB
Bovine, Sheep
Human, Mouse, Rat
Rabbit
Polyclonal
Unconjugated
50 μl, 100 μl, 500 μlTubulin α (Acetyl Lys352) Polyclonal Antibody [orb1416038]
WB
Human, Mouse, Rat
Rabbit
Polyclonal
Unconjugated
100 μlTUBA1A/TUBA1B/TUBA1C/TUBA3C/TUBA4A/TUBA8 Antibody [orb676517]
ELISA, WB
Human, Mouse, Rat
Rabbit
Polyclonal
Unconjugated
50 μg, 100 μgTUBA1A (phospho-Y272) polyclonal antibody [orb642311]
WB
Human, Mouse, Rat
Rabbit
Polyclonal
Unconjugated
200 μl, 100 μl, 50 μl

Quality Guarantee
Explore bioreagents carefree to elevate your research. All our products are rigorously tested for performance. If a product does not perform as described on its datasheet, our scientific support team will provide expert troubleshooting, a prompt replacement, or a refund. For full details, please see our Terms & Conditions and Buying Guide. Contact us at support@biorbyt.com.

Blank control (blue line): Hep G2 (fixed with 70% ethanol (Overnight at 4°C) and then permeabilized with 0.1% PBS-Tween for 20 min at room temperature). Primary Antibody (green line): Rabbit Anti-Tubulin, Alpha 4a antibody (orb500742), dilution: 0.2 µg/10^6 cells, Isotype Control Antibody (orange line): Rabbit IgG. Secondary Antibody (white blue line): Goat anti-rabbit IgG-PE, dilution: 1 µg/Test.

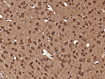
Paraformaldehyde-fixed, paraffin embedded (Mouse brain), Antigen retrieval by boiling in sodium citrate buffer (pH6.0) for 15 min, Block endogenous peroxidase by 3% hydrogen peroxide for 20 minutes, Blocking buffer (normal goat serum) at 37°C for 30 min, Antibody incubation with (Tubulin, Alpha 4a) Polyclonal Antibody, Unconjugated (orb500742) at 1:400 overnight at 4°C, followed by operating according to SP Kit (Rabbit) instructionsand DAB staining.

Sample: Cerebrum (Mouse) Lysate at 40 ug, Primary: Anti-Tubulin, Alpha 4a (orb500742) at 1/300 dilution, Secondary: IRDye800CW Goat Anti-Rabbit IgG at 1/20000 dilution, Predicted band size: 50 kD, Observed band size: 50 kD.

Sample: Lane 1: Cerebrum (Mouse) Lysate at 40 ug, Lane 2: Stomach (Mouse) Lysate at 40 ug, Lane 3: Cerebrum (Rat) Lysate at 40 ug, Lane 4: Kidney (Rat) Lysate at 40 ug, Primary: Anti-Tubulin alpha 4a (orb500742) at 1/1000 dilution, Secondary: IRDye800CW Goat Anti-Rabbit IgG at 1/20000 dilution, Predicted band size: 52 kD, Observed band size: 50 kD.
Quick Database Links
UniProt Details
−Documents Download
Request a Document
Protocol Information
Tubulin, Alpha 4a Rabbit Polyclonal Antibody (orb500742)
Participating in our Biorbyt product reviews program enables you to support fellow scientists by sharing your firsthand experience with our products.
Login to Submit a Review






