You have no items in your shopping cart.
AGT Antibody
Description
Research Area
Images & Validation
−| Tested Applications | ELISA, IF, IHC, WB |
|---|---|
| Dilution range | WB: 1:500-1:5000; IHC: 1:20-1:200; IF: 1:10-1:100 |
| Reactivity | Human |
Key Properties
−| Antibody Type | Primary Antibody |
|---|---|
| Host | Rabbit |
| Clonality | Polyclonal |
| Isotype | IgG |
| Immunogen | angiotensinogen(serpin peptidase inhibitor, clade A, member 8) |
| Target | AGT |
| Molecular Weight | 53 kDa |
| Purity | ≥95% as determined by SDS-PAGE |
| Purification | Immunogen affinity purified |
| Conjugation | Unconjugated |
Storage & Handling
−| Storage | Maintain refrigerated at 2-8°C for up to 2 weeks. For long term storage store at -20°C in small aliquots to prevent freeze-thaw cycles. |
|---|---|
| Form/Appearance | liquid |
| Disclaimer | For research use only |
Alternative Names
−Similar Products
−Angiotensinogen antibody [orb396147]
ELISA, IHC-P, WB
Canine, Equine, Human, Mouse, Porcine, Rat
Rabbit
Polyclonal
Unconjugated
100 μg, 500 μgAngiotensinogen antibody [N1C3] [orb556118]
ICC, IHC-P, WB
Human, Mouse, Rat
Rabbit
Polyclonal
Unconjugated
100 μl

Quality Guarantee
Explore bioreagents carefree to elevate your research. All our products are rigorously tested for performance. If a product does not perform as described on its datasheet, our scientific support team will provide expert troubleshooting, a prompt replacement, or a refund. For full details, please see our Terms & Conditions and Buying Guide. Contact us at support@biorbyt.com.

human plasma tissue were subjected to SDS PAGE followed by western blot with orb624699 (AGT antibody) at dilution of 1:1000.

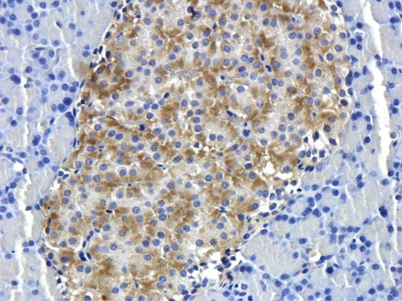
Immunohistochemistry of paraffin-embedded human hepatocirrhosis tissue slide using orb624699 (AGT Antibody) at dilution of 1:50.
Quick Database Links
UniProt Details
−Documents Download
Request a Document
Protocol Information
AGT Antibody (orb624699)
Participating in our Biorbyt product reviews program enables you to support fellow scientists by sharing your firsthand experience with our products.
Login to Submit a Review




![Angiotensinogen antibody [N1C3]](/images/pub/media/catalog/product/a/n/angiotensin-ii-antibody_orb556118_ifa_1.jpg)
![Angiotensinogen antibody [N1C3]](/images/pub/media/catalog/product/a/n/angiotensin-ii-antibody_orb556118_ihc_1.jpg)
![Angiotensinogen antibody [N1C3]](/images/pub/media/catalog/product/a/n/angiotensin-ii-antibody_orb556118_wb_1.jpg)
![Angiotensinogen antibody [N1C3]](/images/pub/media/catalog/product/a/n/angiotensin-ii-antibody_orb556118_wb_2.jpg)
![Angiotensinogen antibody [N1C3]](/images/pub/media/catalog/product/a/n/angiotensin-ii-antibody_orb556118_wb_3.jpg)
![Angiotensinogen antibody [N1C3]](/images/pub/media/catalog/product/a/n/angiotensin-ii-antibody_orb556118_wb_4.jpg)


