You have no items in your shopping cart.
Villin Antibody
Description
Research Area
Images & Validation
−| Tested Applications | FC, IF, IHC-P, WB |
|---|---|
| Reactivity | Human |
Key Properties
−| Antibody Type | Primary Antibody |
|---|---|
| Host | Mouse |
| Clonality | Monoclonal |
| Clone No. | VIL1/1314 |
| Conjugation | Unconjugated |
Storage & Handling
−| Storage | Maintain refrigerated at 2-8°C for up to 2 weeks. For long term storage store at -20°C in small aliquots to prevent freeze-thaw cycles |
|---|---|
| Expiration Date | 12 months from date of receipt. |
| Disclaimer | For research use only |
Alternative Names
−Similar Products
−Villin/VIL1 Rabbit Polyclonal Antibody [orb259634]
FC, IF, IHC, WB
Human, Mouse, Rat
Rabbit
Polyclonal
Unconjugated
100 μgVillin Mouse Monoclonal Antibody [orb1816941]
IF, IHC-Fr, IHC-P
Mouse, Rat
Human, Mouse, Rat
Mouse
Monoclonal
Unconjugated
50 μl, 100 μlVillin Recombinant Rabbit Monoclonal Antibody [orb559140]
IF, IHC-Fr, IHC-P, WB
Mouse, Rat
Human, Mouse, Rat
Rabbit
Recombinant
Unconjugated
25 μl, 50 μl, 100 μlVillin-1 Antibody (N-term) [orb1929818]
FC, IHC-P, WB
Bovine, Porcine
Human, Mouse
Rabbit
Polyclonal
Unconjugated
100 μl, 50 μlEzrin/EZR Rabbit Polyclonal Antibody [orb1098086]
FC, ICC, IF, IHC, WB
Human, Monkey, Mouse, Rat
Rabbit
Polyclonal
Unconjugated
100 μg

Quality Guarantee
Explore bioreagents carefree to elevate your research. All our products are rigorously tested for performance. If a product does not perform as described on its datasheet, our scientific support team will provide expert troubleshooting, a prompt replacement, or a refund. For full details, please see our Terms & Conditions and Buying Guide. Contact us at support@biorbyt.com.

Western Blot of A549, HepG2 & HCT116 Cell Lysates with Villin Monoclonal Antibody (VIL1/1314).

Formalin-fixed, paraffin-embedded human Colon stained with Villin Monoclonal Antibody (VIL1/1314).

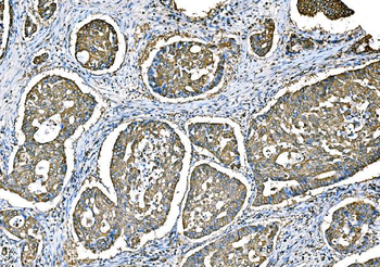
Formalin-fixed, paraffin-embedded human Rectum stained with Villin Monoclonal Antibody (VIL1/1314).
Quick Database Links
UniProt Details
−Documents Download
Request a Document
Protocol Information
Villin Antibody (orb1789209)
Participating in our Biorbyt product reviews program enables you to support fellow scientists by sharing your firsthand experience with our products.
Login to Submit a Review









































