You have no items in your shopping cart.
ATF-2 (phospho Thr71) rabbit pAb Antibody
Description
Images & Validation
−| Tested Applications | ELISA, IF, IHC, IP, WB |
|---|---|
| Dilution Range | Western Blot: 1/500 - 1/2000. Immunohistochemistry: 1/100 - 1/300. Immunoprecipitation: 2-5 ug/mg lysate. ELISA: 1/20000. Not yet tested in other applications. |
| Reactivity | Human, Mouse, Rat |
Key Properties
−| Clonality | Polyclonal |
|---|---|
| Isotype | IgG |
| Immunogen | The antiserum was produced against synthesized peptide derived from human ATF2 around the phosphorylation site of Thr71 or 53. AA range:38-87 |
| Molecular Weight | 52 |
| Purification | The antibody was affinity-purified from rabbit antiserum by affinity-chromatography using epitope-specific immunogen. |
| Conjugation | Unconjugated |
Storage & Handling
−| Storage | Maintain refrigerated at 2-8°C for up to 2 weeks. For long term storage store at -20°C in small aliquots to prevent freeze-thaw cycles. |
|---|---|
| Buffer/Preservatives | PBS with 0.02% sodium azide and 50% glycerol pH 7.4. |
| Concentration | 1 mg/ml |
| Expiration Date | 12 months from date of receipt. |
| Disclaimer | For research use only |
Alternative Names
−Similar Products
−phospho-ATF2 (Thr69/71) Rabbit pAb, IRDye 800CW conjugated [orb2830079]
WB
Bovine, Equine, Rabbit
Human, Mouse, Rat
Rabbit
Polyclonal
IRDye800
100 μlphospho-ATF2 (Thr69/71) Rabbit pAb, Pacific Blue conjugated [orb2854721]
FC, IF
Bovine, Equine, Rabbit
Human, Mouse, Rat
Rabbit
Polyclonal
Pacific Blue
100 μlphospho-ATF2 (Thr69/71) Rabbit pAb, BF700 conjugated [orb2854722]
FC, IF
Bovine, Equine, Rabbit
Human, Mouse, Rat
Rabbit
Polyclonal
BF700
100 μl

Quality Guarantee
Explore bioreagents carefree to elevate your research. All our products are rigorously tested for performance. If a product does not perform as described on its datasheet, our scientific support team will provide expert troubleshooting, a prompt replacement, or a refund. For full details, please see our Terms & Conditions and Buying Guide. Contact us at support@biorbyt.com.

Western Blot analysis of various cells using Phospho-ATF-2 (T71) Polyclonal Antibody diluted at 1:1000.

Western Blot analysis of HuvEc cells using Phospho-ATF-2 (T71) Polyclonal Antibody diluted at 1:1000.

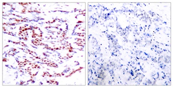
Immunohistochemistry analysis of paraffin-embedded human breast carcinoma, using ATF2 (Phospho-Thr71 or 53) Antibody. The picture on the right is blocked with the phospho peptide.

Western blot analysis of lysates from HeLa cells treated with UV, using ATF2 (Phospho-Thr71 or 53) Antibody. The lane on the right is blocked with the phospho peptide.
Documents Download
Request a Document
Protocol Information
ATF-2 (phospho Thr71) rabbit pAb Antibody (orb764142)
Participating in our Biorbyt product reviews program enables you to support fellow scientists by sharing your firsthand experience with our products.
Login to Submit a Review