You have no items in your shopping cart.
Recombinant CD86 Antibody / Rabbit Monoclonal
Description
Images & Validation
−| Tested Applications | FACS, IF, IHC-P, WB |
|---|---|
| Dilution range | Western blot: 1-2ug/ml,Flow cytometry: 1-2ug/10^6 cells,Immunofluorescence/Immunocytochemistry: 2-4ug/ml,Immunohistochemistry (FFPE): 2-4ug/ml for 30 min at RT,Prediluted IHC only format: incubate for 30 min at RT (1) |
| Reactivity | Human |
| Application Notes |
Key Properties
−| Antibody Type | Primary Antibody |
|---|---|
| Host | Rabbit |
| Clonality | Recombinant |
| Isotype | Rabbit IgG, kappa |
| Clone No. | CDLA86-2R |
| Immunogen | Recombinant human full-length protein was used as the immunogen for the recombinant CD86 antibody. |
| Purification | Protein A affinity chromatography |
| Conjugation | Unconjugated |
Storage & Handling
−| Storage | Maintain refrigerated at 2-8°C for up to 2 weeks. For long term storage store at -20°C in small aliquots to prevent freeze-thaw cycles. |
|---|---|
| Disclaimer | For research use only |
Similar Products
−Recombinant CD86 Antibody / Rabbit Monoclonal [orb533979]
FACS, IF, IHC-P, WB
Human
Rabbit
Recombinant
Unconjugated
100 μg, 20 μgRecombinant CD86 Antibody / Rabbit Monoclonal [orb2640848]
IHC-P
Human
Rabbit
Recombinant
Unconjugated
7 ml

Quality Guarantee
Explore bioreagents carefree to elevate your research. All our products are rigorously tested for performance. If a product does not perform as described on its datasheet, our scientific support team will provide expert troubleshooting, a prompt replacement, or a refund. For full details, please see our Terms & Conditions and Buying Guide. Contact us at support@biorbyt.com.

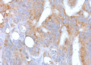
IHC testing of FFPE human colon with recombinant CD86 antibody (CDLA86-2R). Required HIER: boil tissue sections in 10mM Tris buffer with 1mM EDTA, pH9.0, for 10-20 min followed by cooling at RT for 20 min.

Flow cytometry testing of human Ramos cells with recombinant CD86 antibody (blue, clone CDLA86-2R) and isotype control (red).

IF/ICC staining of human Raji cells with recombinant CD86 antibody (green, clone CDLA86-2R) and Reddot nuclear stain (red).

Western blot testing of human Ramos cell lysate with recombinant CD86 antibody (clone CDLA86-2R). Expected molecular weight: 38-70 kDa depending on glycosylation level.
Quick Database Links
UniProt Details
−Documents Download
Request a Document
Protocol Information
Recombinant CD86 Antibody / Rabbit Monoclonal (orb2640849)
Participating in our Biorbyt product reviews program enables you to support fellow scientists by sharing your firsthand experience with our products.
Login to Submit a Review



