You have no items in your shopping cart.
cGKII rabbit pAb Antibody
Description
Images & Validation
−| Tested Applications | ELISA, IF, IHC, WB |
|---|---|
| Dilution range | Western Blot: 1/500 - 1/2000. Immunohistochemistry: 1/100 - 1/300. ELISA: 1/20000. Not yet tested in other applications. |
| Reactivity | Human, Mouse, Rat |
Key Properties
−| Clonality | Polyclonal |
|---|---|
| Isotype | IgG |
| Immunogen | The antiserum was produced against synthesized peptide derived from human CGK 2. AA range:391-440 |
| Molecular Weight | 87 |
| Purification | The antibody was affinity-purified from rabbit antiserum by affinity-chromatography using epitope-specific immunogen. |
| Conjugation | Unconjugated |
Storage & Handling
−| Storage | Maintain refrigerated at 2-8°C for up to 2 weeks. For long term storage store at -20°C in small aliquots to prevent freeze-thaw cycles. |
|---|---|
| Buffer/Preservatives | PBS with 0.02% sodium azide and 50% glycerol pH 7.4. |
| Concentration | 1 mg/ml |
| Disclaimer | For research use only |
Alternative Names
−Similar Products
−cGKII rabbit pAb Antibody [orb769688]
ELISA, IF, IHC, WB
Human, Mouse, Rat
Polyclonal
Unconjugated
50 μl, 100 μlcGKII (phospho Ser126) rabbit pAb Antibody [orb769687]
ELISA, IF, IHC
Human, Mouse, Rat
Polyclonal
Unconjugated
50 μl, 100 μlCGK2 Rabbit pAb, AE conjugated [orb2871465]
ELISA
Bovine, Equine, Human, Mouse, Porcine, Rabbit, Rat, Sheep
Rabbit
Polyclonal
AE
100 μlCGK2 Rabbit pAb, PE-Cy5 conjugated [orb2871466]
ICC, IF
Bovine, Equine, Human, Mouse, Porcine, Rabbit, Rat, Sheep
Rabbit
Polyclonal
PE/Cy5
100 μlCGK2 Rabbit pAb, PE-Cy5.5 conjugated [orb2871467]
ICC, IF
Bovine, Equine, Human, Mouse, Porcine, Rabbit, Rat, Sheep
Rabbit
Polyclonal
PE/Cy5.5
100 μl

Quality Guarantee
Explore bioreagents carefree to elevate your research. All our products are rigorously tested for performance. If a product does not perform as described on its datasheet, our scientific support team will provide expert troubleshooting, a prompt replacement, or a refund. For full details, please see our Terms & Conditions and Buying Guide. Contact us at support@biorbyt.com.

Western Blot analysis of various cells using cGKII Polyclonal Antibody.

Western Blot analysis of HuvEc cells using cGKII Polyclonal Antibody.

Western blot analysis of lysates from HUVEC cells, using CGK 2 Antibody. The lane on the right is blocked with the synthesized peptide.

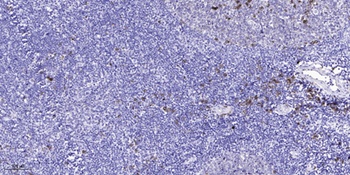
Immunohistochemical analysis of paraffin-embedded human tonsil. 1, Antibody was diluted at 1:200 (4°C overnight). 2, Tris-EDTA, pH9.0 was used for antigen retrieval. 3, Secondary antibody was diluted at 1:200 (room temperature, 45min).
Documents Download
Request a Document
Protocol Information
cGKII rabbit pAb Antibody (orb764841)
Participating in our Biorbyt product reviews program enables you to support fellow scientists by sharing your firsthand experience with our products.
Login to Submit a Review





