You have no items in your shopping cart.
COL10A1 Antibody
Description
Research Area
Images & Validation
−| Tested Applications | IHC |
|---|---|
| Reactivity | Human, Mouse, Rat |
| Application Notes |
Key Properties
−| Antibody Type | Primary Antibody |
|---|---|
| Host | Rabbit |
| Clonality | Polyclonal |
| Isotype | IgG |
| Immunogen | Recombinant fusion protein containing a sequence corresponding to amino acids 521-680 of human COL10A1 (NP_000484.2). |
| Target | COL10A1 |
| Purification | Affinity purification |
| Conjugation | Unconjugated |
Storage & Handling
−| Storage | Maintain refrigerated at 2-8°C for up to 2 weeks. For long term storage store at -20°C in small aliquots to prevent freeze-thaw cycles. |
|---|---|
| Form/Appearance | Liquid |
| Buffer/Preservatives | PBS with 0.02% sodium azide, 50% glycerol, pH 7.3. |
| Concentration | batch dependent |
| Expiration Date | 12 months from date of receipt. |
| Disclaimer | For research use only |
Alternative Names
−Similar Products
−Collagen X Rabbit Polyclonal Antibody [orb312179]
IF, IHC-Fr, IHC-P
Bovine, Canine, Gallus, Human, Porcine, Rabbit
Mouse, Rat
Rabbit
Polyclonal
Unconjugated
200 μl, 50 μl, 100 μl

Quality Guarantee
Explore bioreagents carefree to elevate your research. All our products are rigorously tested for performance. If a product does not perform as described on its datasheet, our scientific support team will provide expert troubleshooting, a prompt replacement, or a refund. For full details, please see our Terms & Conditions and Buying Guide. Contact us at support@biorbyt.com.

Immunohistochemistry of paraffin-embedded rat lung using COL10A1 antibody (orb1254362) at dilution of 1:100 (40x lens).

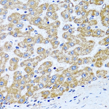
Immunohistochemistry of paraffin-embedded human liver using COL10A1 antibody (orb1254362) at dilution of 1:100 (40x lens).

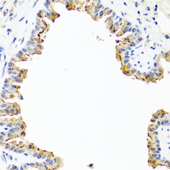
Immunohistochemistry of paraffin-embedded human stomach using COL10A1 antibody (orb1254362) at dilution of 1:100 (40x lens).

Immunohistochemistry of paraffin-embedded mouse lung using COL10A1 antibody (orb1254362) at dilution of 1:100 (40x lens).
Quick Database Links
UniProt Details
−Documents Download
Request a Document
COL10A1 Antibody (orb1254362)
Participating in our Biorbyt product reviews program enables you to support fellow scientists by sharing your firsthand experience with our products.
Login to Submit a Review





