You have no items in your shopping cart.
CRIP2 polyclonal antibody
Description
Research Area
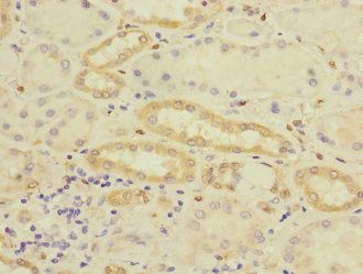
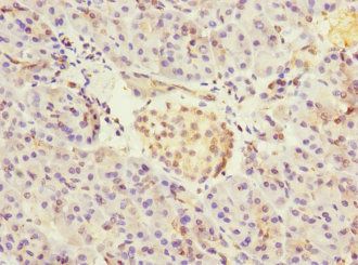
Images & Validation
−
| Tested Applications | WB |
|---|---|
| Dilution Range | WB1:500 - 1:2000 |
| Reactivity | Human, Mouse, Rat |
Key Properties
−| Antibody Type | Primary Antibody |
|---|---|
| Host | Rabbit |
| Clonality | Polyclonal |
| Immunogen | Recombinant fusion protein of human CRIP2(NP_001303.1). |
| Molecular Weight | 22kDa |
| Purification | The antibody was affinity-purified from rabbit antiserum by affinity-chromatography using epitope-specific immunogen and the purity is > 95% (by SDS-PAGE). |
| Conjugation | Unconjugated |
Storage & Handling
−| Storage | Maintain refrigerated at 2-8°C for up to 2 weeks. For long term storage store at -20°C in small aliquots to prevent freeze-thaw cycles. |
|---|---|
| Form/Appearance | 1mg/ml in PBS with 0.02% sodium azide, 50% glycerol, pH 7.2 |
| Buffer/Preservatives | Rabbit IgG, 1mg/ml in PBS with 0.02% sodium azide, 50% glycerol, pH 7.2 |
| Concentration | 1mg/ml |
| Expiration Date | 12 months from date of receipt. |
| Disclaimer | For research use only |
Alternative Names
−Similar Products
−CRIP2 Antibody [orb41532]
ELISA, IF, IHC, WB
Human, Mouse, Rat
Rabbit
Polyclonal
Unconjugated
50 μl, 100 μlCRIP2 Rabbit Polyclonal Antibody [orb575052]
IHC, WB
Bovine, Canine, Equine, Guinea pig, Mouse, Rat, Zebrafish
Human
Rabbit
Polyclonal
Unconjugated
100 μlCRIP2 Rabbit Polyclonal Antibody [orb182744]
IF, IHC-Fr, IHC-P, WB
Equine, Human, Rat
Mouse
Rabbit
Polyclonal
Unconjugated
50 μl, 100 μl, 200 μlCRIP2 Rabbit Polyclonal Antibody [orb575053]
WB
Bovine, Canine, Guinea pig, Mouse, Rat
Human
Rabbit
Polyclonal
Unconjugated
100 μl

Quality Guarantee
Explore bioreagents carefree to elevate your research. All our products are rigorously tested for performance. If a product does not perform as described on its datasheet, our scientific support team will provide expert troubleshooting, a prompt replacement, or a refund. For full details, please see our Terms & Conditions and Buying Guide. Contact us at support@biorbyt.com.
Quick Database Links
UniProt Details
−Documents Download
Request a Document
CRIP2 polyclonal antibody (orb647485)
Participating in our Biorbyt product reviews program enables you to support fellow scientists by sharing your firsthand experience with our products.
Login to Submit a Review









