You have no items in your shopping cart.
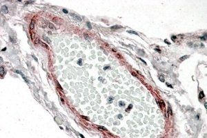
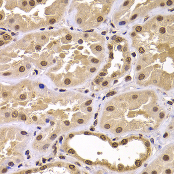
CSRP2 Antibody
SKU: orb1278335
Description
Research Area
Developmental Biology, Epigenetics
Images & Validation
−
| Tested Applications | IHC, WB |
|---|---|
| Dilution Range | WB: 1/1000-1/5000; IHC: 1/50-1/200; ELISA: 1/5000-1/10000 |
| Reactivity | Human, Mouse, Rat |
Key Properties
−| Antibody Type | Primary Antibody |
|---|---|
| Host | Rabbit |
| Clonality | Polyclonal |
| Isotype | Rabbit IgG |
| Immunogen | Fusion protein of human CSRP2 |
| Target | CSRP2 |
| Molecular Weight | 21 kDa |
| Conjugation | Unconjugated |
Storage & Handling
−| Storage | Maintain refrigerated at 2-8°C for up to 2 weeks. For long term storage store at -20°C in small aliquots to prevent freeze-thaw cycles. |
|---|---|
| Buffer/Preservatives | Purified antibody in PBS with 0.05% sodium azide and 50% glycerol. |
| Concentration | Approximately 1mg/ml (varies from batch to batch). Please inquire for precise concentration. |
| Expiration Date | 12 months from date of receipt. |
| Disclaimer | For research use only |
Alternative Names
−CRP2, LMO5, SmLIM
Similar Products
−CRP2/CSRP2 Antibody [orb19668]
ELISA, IHC, WB
Equine
Human, Mouse, Rat
Goat
Polyclonal
Unconjugated
100 μg

Quality Guarantee
Explore bioreagents carefree to elevate your research. All our products are rigorously tested for performance. If a product does not perform as described on its datasheet, our scientific support team will provide expert troubleshooting, a prompt replacement, or a refund. For full details, please see our Terms & Conditions and Buying Guide. Contact us at support@biorbyt.com.
Quick Database Links
Gene Symbol
CSRP2
UniProt
UniProt Details
− No UniProt data available
Documents Download
Datasheet
Product Information
Request a Document
Protocol Information
WB
Western Blot (IB, immunoblot)
IHC
Immunohistochemistry
CSRP2 Antibody (orb1278335)
Based on 0 reviews
Participating in our Biorbyt product reviews program enables you to support fellow scientists by sharing your firsthand experience with our products.
Login to Submit a Review












