You have no items in your shopping cart.
CYP3A4 Antibody
SKU: orb518811
Description
Research Area
Cardiovascular Research
Images & Validation
−Item 1 of 2
| Tested Applications | ELISA, IHC, WB |
|---|---|
| Dilution Range | ELISA:1:1000-1:2000, WB:1:200-1:1000, IHC-P:1:50-1:200 |
| Reactivity | Human, Mouse |
Key Properties
−| Host | Rabbit |
|---|---|
| Clonality | Polyclonal |
| Isotype | IgG |
| Immunogen | Fusion protein of Human CYP3A4 |
| Target | CYP3A4 |
| Purification | Antigen Affinity Purified |
| Conjugation | Unconjugated |
Storage & Handling
−| Storage | Maintain refrigerated at 2-8°C for up to 2 weeks. For long term storage store at -20°C in small aliquots to prevent freeze-thaw cycles. |
|---|---|
| Form/Appearance | Liquid |
| Buffer/Preservatives | -20°C, pH7.4 PBS, 0.05% NaN3, 40% Glycerol |
| Expiration Date | 12 months from date of receipt. |
| Disclaimer | For research use only |
Alternative Names
−1,8-cineole 2-exo-monooxygenase antibody; Albendazole monooxygenase antibody; Albendazole sulfoxidase antibody; CP33 antibody; CP34 antibody; CP3A4_HUMAN antibody; CYP3 antibody; CYP3A antibody; CYP3A3 antibody; CYP3A4 antibody; CYPIIIA3 antibody; CYPIIIA4 antibody; Cytochrome P450 3A3 antibody; Cytochrome P450 3A4 antibody; Cytochrome P450 family 3 subfamily A polypeptide 4 antibody; Cytochrome P450 HLp antibody; Cytochrome P450 NF-25 antibody; Cytochrome P450 subfamily IIIA polypeptide 4 antibody; cytochrome P450, subfamily IIIA (niphedipine oxidase), polypeptide 3 antibody; cytochrome P450, subfamily IIIA (niphedipine oxidase), polypeptide 4 antibody; Cytochrome P450-PCN1 antibody; Glucocorticoid inducible P450 antibody; HLP antibody; MGC126680 antibody; NF 25 antibody; NF25 antibody; Nifedipine oxidase antibody; P450 III steroid inducible antibody; P450 PCN1 antibody; P450, family III antibody; P450C3 antibody; P450PCN1 antibody; Quinine 3 monooxygenase antibody; Quinine 3-monooxygenase antibody; Taurochenodeoxycholate 6 alpha hydroxylase antibody; Taurochenodeoxycholate 6-alpha-hydroxylase antibody
Similar Products
−CYP3A4 rabbit pAb Antibody [orb764984]
ELISA, IF, IHC, WB
Human, Mouse, Rat
Polyclonal
Unconjugated
100 μl, 50 μl

Quality Guarantee
Explore bioreagents carefree to elevate your research. All our products are rigorously tested for performance. If a product does not perform as described on its datasheet, our scientific support team will provide expert troubleshooting, a prompt replacement, or a refund. For full details, please see our Terms & Conditions and Buying Guide. Contact us at support@biorbyt.com.

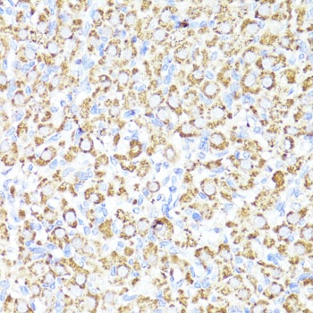
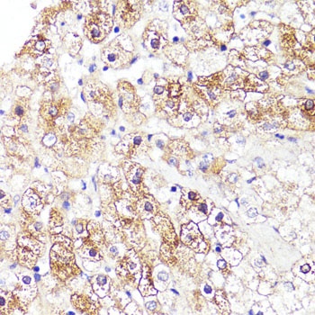
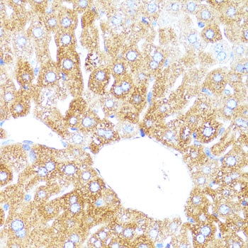
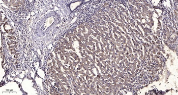
Immunohistochemistry of paraffin-embedded Human liver cancer tissue using CYP3A4 antibody

Western blot aanalysis of Mouse liver tissueusing CYP3A4 antibody
Quick Database Links
Gene Symbol
CYP3A4
UniProt
UniProt Details
− No UniProt data available
Documents Download
Datasheet
Product Information
Request a Document
Protocol Information
WB
Western Blot (IB, immunoblot)
IHC
Immunohistochemistry
ELISA
Enzyme-linked Immunosorbent Assay (EIA)
CYP3A4 Antibody (orb518811)
Based on 0 reviews
Participating in our Biorbyt product reviews program enables you to support fellow scientists by sharing your firsthand experience with our products.
Login to Submit a Review










