You have no items in your shopping cart.
Factor I Antibody
Description
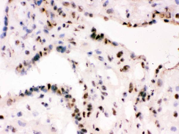
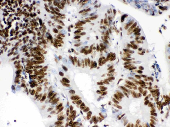
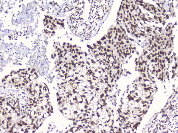
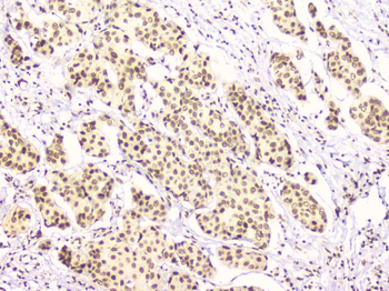
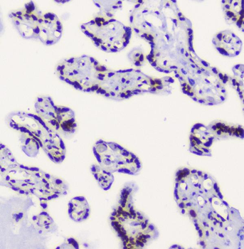
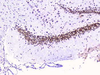
Images & Validation
−| Tested Applications | IHC, WB |
|---|---|
| Dilution range | WB 1:2000 |
| Reactivity | Human |
| Application Notes |
Key Properties
−| Antibody Type | Primary Antibody |
|---|---|
| Host | Mouse |
| Clonality | Monoclonal |
| Isotype | IgG1 |
| Clone No. | OTI15H9 |
| Immunogen | Human recombinant protein fragment corresponding to amino acids 340-583 of human CFI(NP_000195) produced in E.coli. |
| Target | Factor I |
| Molecular Weight | 63.4 kDa |
| Conjugation | Unconjugated |
Storage & Handling
−| Storage | Maintain refrigerated at 2-8°C for up to 2 weeks. For long term storage store at -20°C in small aliquots to prevent freeze-thaw cycles. |
|---|---|
| Disclaimer | For research use only |
Similar Products
−IL-8/CXCL8 Rabbit Polyclonal Antibody [orb10915]
ELISA, WB
Bovine, Porcine, Rabbit, Sheep
Human
Rabbit
Polyclonal
Unconjugated
50 μl, 100 μl, 200 μlRbAp48/RBBP4 Antibody [orb334529]
FC, ICC, IF, IHC-Fr, WB
Human, Mouse, Rat
Rabbit
Polyclonal
Unconjugated
100 μgPhospho-IKB alpha (Tyr305) Rabbit Polyclonal Antibody [orb5523]
FC, IF, IHC-Fr, IHC-P, WB
Bovine, Porcine, Rabbit, Sheep
Human, Mouse, Rat
Rabbit
Polyclonal
Unconjugated
100 μl, 50 μl, 200 μlMCM6 Antibody (monoclonal, 3F13C4) [orb865665]
FC, ICC, IF, IHC, WB
Human, Mouse, Rat
Mouse
Monoclonal
Unconjugated
100 μgRbAp48 RBBP4 Antibody (monoclonal, 9F3) [orb443139]
IHC, WB
Human, Mouse, Rat
Mouse
Monoclonal
Unconjugated
100 μg

Quality Guarantee
Explore bioreagents carefree to elevate your research. All our products are rigorously tested for performance. If a product does not perform as described on its datasheet, our scientific support team will provide expert troubleshooting, a prompt replacement, or a refund. For full details, please see our Terms & Conditions and Buying Guide. Contact us at support@biorbyt.com.

Western blot analysis of HEK293T cells were transfected with the pCMV6-ENTRY control (Left lane) or pCMV6-ENTRY CFI (Right lane) cDNA for 48 hrs and lysed using Factor I (CFI) antibody
Documents Download
Request a Document
Protocol Information
Factor I Antibody (orb1330334)
Participating in our Biorbyt product reviews program enables you to support fellow scientists by sharing your firsthand experience with our products.
Login to Submit a Review























































