You have no items in your shopping cart.
GSK3α rabbit pAb Antibody
Description
Images & Validation
−| Tested Applications | ELISA, IF, IHC, IP, WB |
|---|---|
| Dilution Range | Western Blot: 1/500 - 1/2000. Immunohistochemistry: 1/100 - 1/300. Immunoprecipitation: 2-5 ug/mg lysate. ELISA: 1/20000. Not yet tested in other applications. |
| Reactivity | Human, Mouse, Rat |
Key Properties
−| Clonality | Polyclonal |
|---|---|
| Isotype | IgG |
| Immunogen | The antiserum was produced against synthesized peptide derived from human GSK3A. AA range:10-59 |
| Molecular Weight | 51 |
| Purification | The antibody was affinity-purified from rabbit antiserum by affinity-chromatography using epitope-specific immunogen. |
| Conjugation | Unconjugated |
Storage & Handling
−| Storage | Maintain refrigerated at 2-8°C for up to 2 weeks. For long term storage store at -20°C in small aliquots to prevent freeze-thaw cycles. |
|---|---|
| Buffer/Preservatives | PBS with 0.02% sodium azide and 50% glycerol pH 7.4. |
| Concentration | 1 mg/ml |
| Expiration Date | 12 months from date of receipt. |
| Disclaimer | For research use only |
Alternative Names
−Similar Products
−GSK3α/β (phospho Tyr279/216) rabbit pAb Antibody [orb764196]
ELISA, IF, IHC, WB
Human, Mouse, Rat
Polyclonal
Unconjugated
100 μl, 50 μlGSK3α/β rabbit pAb Antibody [orb765361]
ELISA, IF, IHC, WB
Drosophila, Human, Mouse, Rat
Polyclonal
Unconjugated
100 μl, 50 μlGSK3α (phospho Ser21) rabbit pAb Antibody [orb764195]
ELISA, IF, IHC, IP, WB
Human, Mouse, Rat
Polyclonal
Unconjugated
100 μl, 50 μlphospho-GSK3A (Ser21) Rabbit pAb, PerCP-Cy7 conjugated [orb2841740]
IF
Bovine, Canine, Human, Porcine, Rat
Mouse
Rabbit
Polyclonal
PerCP/Cy7
100 μlphospho-GSK3A (Ser21) Rabbit pAb, Pacific Blue conjugated [orb2841741]
IF
Bovine, Canine, Human, Porcine, Rat
Mouse
Rabbit
Polyclonal
Pacific Blue
100 μl

Quality Guarantee
Explore bioreagents carefree to elevate your research. All our products are rigorously tested for performance. If a product does not perform as described on its datasheet, our scientific support team will provide expert troubleshooting, a prompt replacement, or a refund. For full details, please see our Terms & Conditions and Buying Guide. Contact us at support@biorbyt.com.

Western Blot analysis of various cells using GSK3α Polyclonal Antibody.

Western Blot analysis of Jurkat cells using GSK3α Polyclonal Antibody.

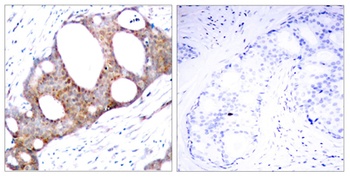
Immunohistochemistry analysis of paraffin-embedded human breast carcinoma, using GSK3 alpha Antibody. The picture on the right is blocked with the synthesized peptide.

Western blot analysis of lysates from K562, HepG2, and RAW264.7 cells, using GSK3 alpha Antibody. The lane on the right is blocked with the synthesized peptide.
Documents Download
Request a Document
Protocol Information
GSK3α rabbit pAb Antibody (orb765360)
Participating in our Biorbyt product reviews program enables you to support fellow scientists by sharing your firsthand experience with our products.
Login to Submit a Review










