You have no items in your shopping cart.
HA Antibody
Description
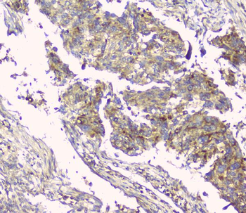
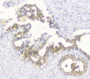
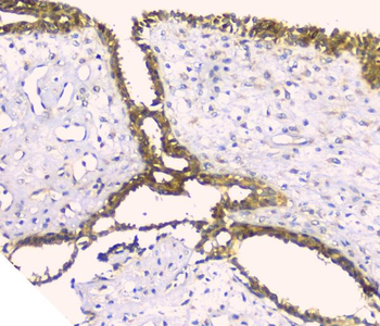
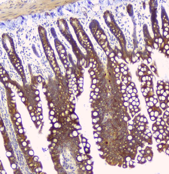
Images & Validation
−| Tested Applications | IF, WB |
|---|---|
| Dilution range | WB:1:500-1:2,000, IF:1:100-1:500 |
| Application Notes |
Key Properties
−| Antibody Type | Primary Antibody |
|---|---|
| Host | Goat |
| Clonality | Polyclonal |
| Isotype | IgG |
| Immunogen | Antigen: Purified recombinant HA epitope peptide derived from the human Influenza Hemagglutinin protein and produced in E. coli.. Antigen Sequence: MAYPYDVPDYANPMAYPYDVPDYANPMAYPYDVPDYA |
| Target | MAYPYDVPDYA epitope Tag |
| Purification | Epitope affinity purified |
| Conjugation | Unconjugated |
Storage & Handling
−| Storage | Maintain refrigerated at 2-8°C for up to 2 weeks. For long term storage store at -20°C in small aliquots to prevent freeze-thaw cycles. |
|---|---|
| Buffer/Preservatives | PBS, 20% glycerol and 0.05% sodium azide |
| Concentration | 1 mg/ml |
| Disclaimer | For research use only |
Alternative Names
−Similar Products
−KRAS Rabbit Polyclonal Antibody [orb10963]
FC, IF, IHC-Fr, IHC-P, WB
Mouse, Rat
Human, Mouse, Rat
Rabbit
Polyclonal
Unconjugated
50 μl, 100 μl, 200 μlHyaluronan synthase 1/HAS1 Antibody [orb526995]
ICC, IF, IHC, WB
Human, Mouse, Rat
Rabbit
Polyclonal
Unconjugated
100 μgKAT3B/p300/EP300 Antibody [orb1098087]
FC, ICC, IF, IHC, WB
Human, Mouse
Rabbit
Polyclonal
Unconjugated
100 μg

Quality Guarantee
Explore bioreagents carefree to elevate your research. All our products are rigorously tested for performance. If a product does not perform as described on its datasheet, our scientific support team will provide expert troubleshooting, a prompt replacement, or a refund. For full details, please see our Terms & Conditions and Buying Guide. Contact us at support@biorbyt.com.

Western blot analysis of staining of HA-BAG2 cells lysates using HA antibody
Quick Database Links
Documents Download
Request a Document
Protocol Information
HA Antibody (orb334969)
Participating in our Biorbyt product reviews program enables you to support fellow scientists by sharing your firsthand experience with our products.
Login to Submit a Review













































