You have no items in your shopping cart.
HLA-DRA Antibody
Description
Research Area
Images & Validation
−| Tested Applications | ELISA, IHC |
|---|---|
| Dilution range | IHC: 1:20-1:200 |
| Reactivity | Human, Mouse, Rat |
Key Properties
−| Antibody Type | Primary Antibody |
|---|---|
| Host | Rabbit |
| Clonality | Polyclonal |
| Isotype | IgG |
| Immunogen | major histocompatibility complex, class II, DR alpha |
| Target | HLA-DRA |
| Molecular Weight | 32 kDa |
| Purity | ≥95% as determined by SDS-PAGE |
| Purification | Immunogen affinity purified |
| Conjugation | Unconjugated |
Storage & Handling
−| Storage | Maintain refrigerated at 2-8°C for up to 2 weeks. For long term storage store at -20°C in small aliquots to prevent freeze-thaw cycles. |
|---|---|
| Form/Appearance | liquid |
| Disclaimer | For research use only |
Alternative Names
−Similar Products
−HLA-DR/HLA-DRA Antibody (monoclonal, 5B13F7) [orb1152388]
FC, IHC, WB
Human
Mouse
Monoclonal
Unconjugated
100 μgHLA-DR/HLA-DRA Antibody (monoclonal, 8I10H1) [orb1152389]
FC, IHC, WB
Human
Mouse
Monoclonal
Unconjugated
100 μgHLA-DRA Antibody [orb1410572]
FC, IF, IHC, WB
Human
Mouse
Monoclonal
Unconjugated
20 μg, 100 μg, 100 μg (without BSA and Azide)HLA-DR Recombinant Rabbit Monoclonal Antibody [orb783409]
IF, IHC-Fr, IHC-P, WB
Mouse, Rat
Human
Rabbit
Recombinant
Unconjugated
100 μl, 50 μl

Quality Guarantee
Explore bioreagents carefree to elevate your research. All our products are rigorously tested for performance. If a product does not perform as described on its datasheet, our scientific support team will provide expert troubleshooting, a prompt replacement, or a refund. For full details, please see our Terms & Conditions and Buying Guide. Contact us at support@biorbyt.com.

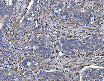
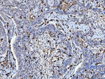
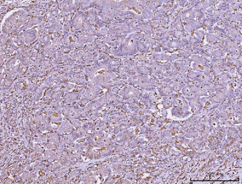
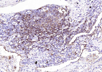
Immunohistochemistry of paraffin-embedded human tonsillitis tissue using orb627720 (HLA-DRA antibody) at dilution of 1:50.
Quick Database Links
UniProt Details
−Documents Download
Request a Document
Protocol Information
HLA-DRA Antibody (orb627720)
Participating in our Biorbyt product reviews program enables you to support fellow scientists by sharing your firsthand experience with our products.
Login to Submit a Review




























