You have no items in your shopping cart.
HNRNPL Antibody
Description
Images & Validation
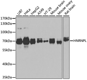
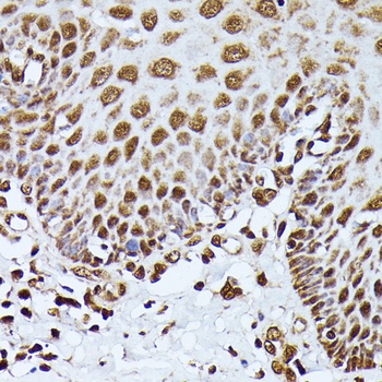
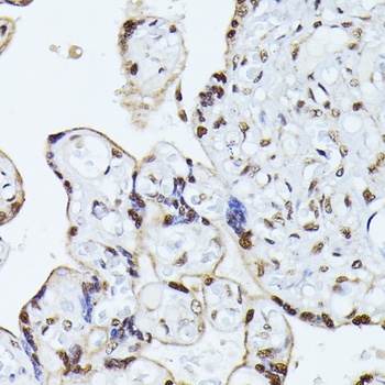
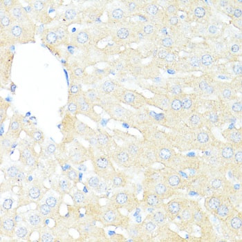
−| Tested Applications | IHC-P, WB |
|---|---|
| Reactivity | Human |
| Predicted Reactivity | Mouse |
| Application Notes |
Key Properties
−| Antibody Type | Primary Antibody |
|---|---|
| Host | Rabbit |
| Clonality | Polyclonal |
| Isotype | Rabbit Ig |
| Immunogen | This HNRPL antibody is generated from rabbits immunized with a KLH conjugated synthetic peptide between 461-490 amino acids from the C-terminal region of human HNRPL. |
| Target | HNRNPL |
| Molecular Weight | 64 kDa |
| Purification | This antibody is prepared by Saturated Ammonium Sulfate (SAS) precipitation followed by dialysis |
| Conjugation | Unconjugated |
Storage & Handling
−| Storage | Maintain refrigerated at 2-8°C for up to 2 weeks. For long term storage store at -20°C in small aliquots to prevent freeze-thaw cycles. |
|---|---|
| Form/Appearance | Liquid |
| Buffer/Preservatives | Supplied in PBS with 0.09% (W/V) sodium azide. |
| Concentration | batch dependent |
| Disclaimer | For research use only |
Alternative Names
−Similar Products
−hnRNP L/HNRNPL Antibody [orb1290006]
ELISA, FC, ICC, IF, IHC, WB
Human, Mouse, Rat
Rabbit
Polyclonal
Unconjugated
100 μgHnRNP L/HNRNPL Antibody [orb389416]
ICC, IF, IHC, WB
Human, Mouse, Rat
Rabbit
Polyclonal
Unconjugated
100 μghnRNP L rabbit pAb Antibody [orb765427]
ELISA, IF, IHC, WB
Human, Mouse
Polyclonal
Unconjugated
100 μl, 50 μl

Quality Guarantee
Explore bioreagents carefree to elevate your research. All our products are rigorously tested for performance. If a product does not perform as described on its datasheet, our scientific support team will provide expert troubleshooting, a prompt replacement, or a refund. For full details, please see our Terms & Conditions and Buying Guide. Contact us at support@biorbyt.com.

Western blot analysis of HNRPL Antibody in HepG2 cell line lysates (35 ug/lane) (2ug/ml)

Western blot analysis of HNRPL using rabbit polyclonal HNRPL Antibody using 293 cell lysates (2 ug/lane) either nontransfected (Lane 1) or transiently transfected with the HNRPL gene (Lane 2).

Formalin-fixed and paraffin-embedded human hepatocarcinoma reacted with HNRPL Antibody, which was peroxidase-conjugated to the secondary antibody, followed by DAB staining.
Documents Download
Request a Document
Protocol Information
HNRNPL Antibody (orb1264488)
Participating in our Biorbyt product reviews program enables you to support fellow scientists by sharing your firsthand experience with our products.
Login to Submit a Review




































