You have no items in your shopping cart.
IL9R Antibody
Description
Research Area
Images & Validation
−| Tested Applications | IHC-P, WB |
|---|---|
| Reactivity | Human, Mouse |
| Application Notes |
Key Properties
−| Antibody Type | Primary Antibody |
|---|---|
| Host | Rabbit |
| Clonality | Polyclonal |
| Isotype | Rabbit Ig |
| Immunogen | This IL9R antibody is generated from rabbits immunized with a KLH conjugated synthetic peptide between 170-199 amino acids from the Central region of human IL9R. |
| Target | IL9R |
| Molecular Weight | 57 kDa |
| Purification | This antibody is purified through a protein A column, followed by peptide affinity purification. |
| Conjugation | Unconjugated |
Storage & Handling
−| Storage | Maintain refrigerated at 2-8°C for up to 2 weeks. For long term storage store at -20°C in small aliquots to prevent freeze-thaw cycles. |
|---|---|
| Form/Appearance | Liquid |
| Buffer/Preservatives | Supplied in PBS with 0.09% (W/V) sodium azide. |
| Concentration | batch dependent |
| Expiration Date | 12 months from date of receipt. |
| Disclaimer | For research use only |
Alternative Names
−Similar Products
−IL-9R (phospho Ser519) rabbit pAb Antibody [orb768764]
ELISA, IF, IHC, WB
Human, Mouse, Rat
Polyclonal
Unconjugated
100 μl, 50 μlIL9R Antibody (Center) [orb1935880]
IHC-P, WB
Human, Mouse, Rat
Rabbit
Polyclonal
Unconjugated
100 μl, 50 μlIL-9R rabbit pAb Antibody [orb767211]
ELISA, WB
Human, Mouse, Rat
Polyclonal
Unconjugated
100 μl, 50 μl

Quality Guarantee
Explore bioreagents carefree to elevate your research. All our products are rigorously tested for performance. If a product does not perform as described on its datasheet, our scientific support team will provide expert troubleshooting, a prompt replacement, or a refund. For full details, please see our Terms & Conditions and Buying Guide. Contact us at support@biorbyt.com.

Western Blot at 1:1000 dilution + Jurkat whole cell lysate Lysates/proteins at 20 ug per lane.

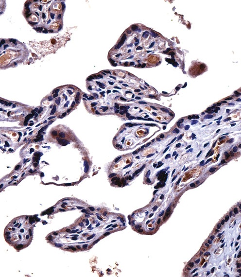
IL9R Antibody immunohistochemistry analysis in formalin fixed and paraffin embedded human placenta tissue followed by peroxidase conjugation of the secondary antibody and DAB staining.
Documents Download
Request a Document
Protocol Information
IL9R Antibody (orb1268363)
Participating in our Biorbyt product reviews program enables you to support fellow scientists by sharing your firsthand experience with our products.
Login to Submit a Review







![Anti-IL-9R [AH9R2]](/images/pub/media/catalog/product/NewWebsite/35/orb758849_1.png)
![Anti-IL-9R [AH9R2]](/images/pub/media/catalog/product/NewWebsite/35/orb758849_2.png)
![Anti-IL-9R [AH9R2]](/images/pub/media/catalog/product/NewWebsite/35/orb758850_1.png)
![Anti-IL-9R [AH9R2]](/images/pub/media/catalog/product/NewWebsite/35/orb758850_2.png)