You have no items in your shopping cart.
Jun B rabbit pAb Antibody
Description
Images & Validation
−| Tested Applications | ELISA, IF, IHC, IP, WB |
|---|---|
| Dilution Range | Western Blot: 1/500 - 1/2000. Immunohistochemistry: 1/100 - 1/300. Immunoprecipitation: 2-5 ug/mg lysate. ELISA: 1/20000. Not yet tested in other applications. |
| Reactivity | Human, Mouse |
Key Properties
−| Clonality | Polyclonal |
|---|---|
| Isotype | IgG |
| Immunogen | The antiserum was produced against synthesized peptide derived from human JunB. AA range:226-275 |
| Molecular Weight | 36 |
| Purification | The antibody was affinity-purified from rabbit antiserum by affinity-chromatography using epitope-specific immunogen. |
| Conjugation | Unconjugated |
Storage & Handling
−| Storage | Maintain refrigerated at 2-8°C for up to 2 weeks. For long term storage store at -20°C in small aliquots to prevent freeze-thaw cycles. |
|---|---|
| Buffer/Preservatives | PBS with 0.02% sodium azide and 50% glycerol pH 7.4. |
| Concentration | 1 mg/ml |
| Expiration Date | 12 months from date of receipt. |
| Disclaimer | For research use only |
Alternative Names
−Similar Products
−Jun B (phospho Ser259) rabbit pAb Antibody [orb764226]
ELISA, IF, IHC, IP, WB
Human, Mouse, Rat
Polyclonal
Unconjugated
100 μl, 50 μlBATF3 rabbit pAb Antibody [orb771303]
ELISA, IF, IHC, WB
Human, Mouse, Rat
Polyclonal
Unconjugated
50 μl, 100 μlJun B (phospho Ser79) rabbit pAb Antibody [orb768858]
ELISA, IF, IHC, IP
Human, Mouse, Rat
Polyclonal
Unconjugated
50 μl, 100 μlJunB (phospho-Thr102/Thr104) rabbit pAb Antibody [orb2304912]
IHC, WB
Human, Mouse, Rat
Polyclonal
Unconjugated
100 μl, 50 μlJunB Rabbit pAb, IRDye 800CW conjugated [orb2821685]
WB
Bovine, Canine, Equine, Human
Mouse, Rat
Rabbit
Polyclonal
IRDye800
100 μl

Quality Guarantee
Explore bioreagents carefree to elevate your research. All our products are rigorously tested for performance. If a product does not perform as described on its datasheet, our scientific support team will provide expert troubleshooting, a prompt replacement, or a refund. For full details, please see our Terms & Conditions and Buying Guide. Contact us at support@biorbyt.com.

Western Blot analysis of HeLa RAW264.7 cells using Jun B Polyclonal Antibody cells nucleus extracted by Minute TM Cytoplasmic and Nuclear Fractionation kit.

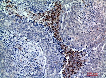
Immunohistochemistry analysis of paraffin-embedded human breast carcinoma tissue, using JunB Antibody. The picture on the right is blocked with the synthesized peptide.

Western blot analysis of lysates from HeLa cells, using JunB Antibody. The lane on the right is blocked with the synthesized peptide.
Documents Download
Request a Document
Protocol Information
Jun B rabbit pAb Antibody (orb768859)
Participating in our Biorbyt product reviews program enables you to support fellow scientists by sharing your firsthand experience with our products.
Login to Submit a Review






