You have no items in your shopping cart.
LGALS3 Antibody
Description
Research Area
Images & Validation
−| Tested Applications | ELISA, IF, IHC, WB |
|---|---|
| Dilution range | WB: 1:1000-1:5000; IHC: 1:50-1:200; IF: 1:20-1:200 |
| Reactivity | Human, Mouse, Rat |
Key Properties
−| Antibody Type | Primary Antibody |
|---|---|
| Host | Mouse |
| Clonality | Monoclonal |
| Isotype | IgG1 |
| Immunogen | lectin, galactoside-binding, soluble, 3 |
| Target | LGALS3 |
| Molecular Weight | 31 kDa |
| Purity | ≥95% as determined by SDS-PAGE |
| Purification | Protein A+G purified |
| Conjugation | Unconjugated |
Storage & Handling
−| Storage | Maintain refrigerated at 2-8°C for up to 2 weeks. For long term storage store at -20°C in small aliquots to prevent freeze-thaw cycles. |
|---|---|
| Form/Appearance | liquid |
| Disclaimer | For research use only |
Alternative Names
−Similar Products
−Galectin 3 Rabbit Polyclonal Antibody [orb10686]
FC, IF, IHC-Fr, IHC-P
Mouse
Human, Mouse
Rabbit
Polyclonal
Unconjugated
50 μl, 100 μl, 200 μlGalectin 3 Mouse Monoclonal Antibody [orb704529]
IF, IHC-Fr, IHC-P, WB
Mouse
Human, Rat
Mouse
Monoclonal
Unconjugated
50 μl, 100 μl, 200 μl, 200 μgGalectin 3/LGALS3 Antibody (monoclonal, 12B12) [orb527053]
FC, ICC, IF, IHC, WB
Human, Mouse, Rat
Mouse
Monoclonal
Unconjugated
100 μgGalectin 3 Rabbit Polyclonal Antibody [orb500971]
FC, IF, IHC-Fr, IHC-P, WB
Canine, Rat
Human, Mouse
Rabbit
Polyclonal
Unconjugated
100 μl, 200 μl, 50 μl

Quality Guarantee
Explore bioreagents carefree to elevate your research. All our products are rigorously tested for performance. If a product does not perform as described on its datasheet, our scientific support team will provide expert troubleshooting, a prompt replacement, or a refund. For full details, please see our Terms & Conditions and Buying Guide. Contact us at support@biorbyt.com.

HeLa cells were subjected to SDS PAGE followed by western blot with orb627214 (Galectin 3 antibody) at dilution of 1:1000.

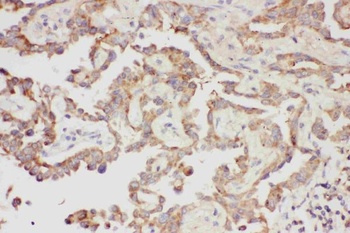
Immunohistochemistry of paraffin-embedded human thyroid cancer tissue slide using orb627214 (Galectin 3 Antibody) at dilution of 1:100.
Quick Database Links
UniProt Details
−Documents Download
Request a Document
Protocol Information
LGALS3 Antibody (orb627214)
Participating in our Biorbyt product reviews program enables you to support fellow scientists by sharing your firsthand experience with our products.
Login to Submit a Review




































