You have no items in your shopping cart.
MC4 Receptor Polyclonal Antibody
Description
Research Area
Images & Validation
−| Tested Applications | ELISA, ICC, IF, IHC-Fr, WB |
|---|---|
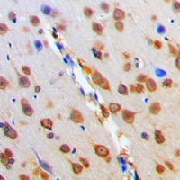
| Reactivity | Rat |
Key Properties
−| Host | Rabbit |
|---|---|
| Clonality | Polyclonal |
| Conjugation | Unconjugated |
Storage & Handling
−| Storage | Maintain refrigerated at 2-8°C for up to 2 weeks. For long term storage store at -20°C in small aliquots to prevent freeze-thaw cycles |
|---|---|
| Expiration Date | 12 months from date of receipt. |
| Disclaimer | For research use only |
Alternative Names
−Similar Products
−MC4-R/MC4R/MC4 Rabbit Polyclonal Antibody [orb623809]
FC, ICC, IF, IHC, WB
Human, Mouse, Rat
Rabbit
Polyclonal
Unconjugated
100 μgMC4-R rabbit pAb Antibody [orb769078]
ELISA, IF, IHC, WB
Human, Mouse, Rat
Polyclonal
Unconjugated
100 μl, 50 μlMC4R Rabbit Polyclonal Antibody [orb157856]
ELISA, WB
Human
Mouse, Rat
Rabbit
Polyclonal
Unconjugated
50 μl, 100 μl, 200 μlMC4 Receptor Antibody [orb214232]
IHC, WB
Bovine, Canine, Human, Monkey, Mouse, Porcine, Rabbit, Rat, Sheep
Rabbit
Polyclonal
Unconjugated
30 μl, 100 μl, 200 μl, 50 μl

Quality Guarantee
Explore bioreagents carefree to elevate your research. All our products are rigorously tested for performance. If a product does not perform as described on its datasheet, our scientific support team will provide expert troubleshooting, a prompt replacement, or a refund. For full details, please see our Terms & Conditions and Buying Guide. Contact us at support@biorbyt.com.

Sample: Embryo (Mouse) Lysate at 40 ug. Primary: Anti- MC4 Receptor at 1/1000 dilution. Secondary: IRDye800CW Goat Anti-Rabbit IgG at 1/20000 dilution. Predicted band size: 37 kD. Observed band size: 52 kD.

Sample: MCF-7 Cell (Human) Lysate at 40 ug. Primary: Anti-MC4 Receptor at 1/300 dilution. Secondary: IRDye800CW Goat Anti-Rabbit IgG at 1/20000 dilution. Predicted band size: 37 kD. Observed band size: 40 kD.

Positive control: RSC96. Isotype Control Antibody: Rabbit IgG; Secondary Antibody: Goat anti-rabbit IgG-FITC, Dilution: 1: 100 in 1 X PBS containing 0.5% BSA; Primary Antibody Dilution: 6 µg in 100 µL 1X PBS containing 0.5% BSA.

Blank control: 293T (fixed with 2% paraformaldehyde (10 min) and then permeabilized with ice-cold 90% methanol for 30 min on ice).Primary Antibody: Rabbit Anti-MC4 Receptor /AF488 Conjugated antibody, Dilution: 1 µg in 100 µL 1X PBS containing 0.5% BSA; Isotype Control Antibody: Rabbit IgG/AF488 (orange), used under the same conditions.

Blank control: 293T (fixed with 2% paraformaldehyde (10 min) and then permeabilized with ice-cold 90% methanol for 30 min on ice). Primary Antibody: Rabbit Anti-MC4 Receptor /AF488 Conjugated antibody, Dilution: 1 µg in 100 µL 1X PBS containing 0.5% BSA; Isotype Control Antibody: Rabbit IgG/AF488 (orange), used under the same conditions.
Quick Database Links
UniProt Details
−Documents Download
Request a Document
Protocol Information
MC4 Receptor Polyclonal Antibody (orb1421140)
Participating in our Biorbyt product reviews program enables you to support fellow scientists by sharing your firsthand experience with our products.
Login to Submit a Review








