You have no items in your shopping cart.
PKN1 polyclonal antibody
Description
Research Area
Images & Validation
−
| Tested Applications | ICC, WB |
|---|---|
| Dilution Range | WB: 1:500-1:1000ICC: 1:50-1:200 |
| Reactivity | Human, Mouse, Rat |
Key Properties
−| Antibody Type | Primary Antibody |
|---|---|
| Host | Rabbit |
| Clonality | Polyclonal |
| Immunogen | Synthetic peptide, corresponding to amino acids 294-339 of Human PKN1. |
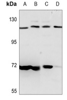
| Molecular Weight | ~ 103, 120 kDa |
| Purification | The antibody was affinity-purified from rabbit antiserum by affinity-chromatography using epitope-specific immunogen and the purity is > 95% (by SDS-PAGE). |
| Conjugation | Unconjugated |
Storage & Handling
−| Storage | Maintain refrigerated at 2-8°C for up to 2 weeks. For long term storage store at -20°C in small aliquots to prevent freeze-thaw cycles. |
|---|---|
| Buffer/Preservatives | Rabbit IgG, 1mg/ml in PBS with 0.02% sodium azide, 50% glycerol, pH 7.2 |
| Concentration | 1mg/ml |
| Disclaimer | For research use only |
Alternative Names
−Similar Products
−PKN1/2 (Phospho-T774/816) Antibody [orb515530]
WB
Bovine, Human, Mouse, Rat
Rabbit
Polyclonal
Unconjugated
50 μl, 30 μl, 100 μl, 200 μlPkn1 Rabbit Polyclonal Antibody [orb582561]
WB
Bovine, Canine, Equine, Guinea pig, Human, Mouse
Rat
Rabbit
Polyclonal
Unconjugated
100 μlPKN1 Rabbit Polyclonal Antibody [orb312769]
IF, IHC-Fr, IHC-P
Bovine, Canine, Human, Rat
Mouse
Rabbit
Polyclonal
Unconjugated
50 μl, 100 μl, 200 μlPKN1 Antibody [orb214444]
WB
Bovine, Human, Monkey, Mouse, Rat
Rabbit
Polyclonal
Unconjugated
50 μl, 100 μl, 200 μl, 30 μl

Quality Guarantee
Explore bioreagents carefree to elevate your research. All our products are rigorously tested for performance. If a product does not perform as described on its datasheet, our scientific support team will provide expert troubleshooting, a prompt replacement, or a refund. For full details, please see our Terms & Conditions and Buying Guide. Contact us at support@biorbyt.com.
Quick Database Links
UniProt Details
−Documents Download
Request a Document
Protocol Information
PKN1 polyclonal antibody (orb645049)
Participating in our Biorbyt product reviews program enables you to support fellow scientists by sharing your firsthand experience with our products.
Login to Submit a Review




