You have no items in your shopping cart.
PTK2 Rabbit Polyclonal Antibody
Description
Research Area
Images & Validation
−| Tested Applications | WB |
|---|---|
| Reactivity | Human, Mouse |
| Predicted Reactivity | Bovine, Canine, Equine, Guinea pig, Rabbit, Rat, Zebrafish |
Key Properties
−| Host | Rabbit |
|---|---|
| Clonality | Polyclonal |
| Immunogen | The immunogen is a synthetic peptide directed towards the middle region of Human PTK2 |
| Target | PTK2 |
| Protein Sequence | Synthetic peptide located within the following region: IELGRC' target='_blank'>SEKQGMRTHAVSVSETDDYAEIIDEEDTYTMPSTRDYEIQRERIELGRC |
| Molecular Weight | 47kDa |
| Purification | Affinity Purified |
| Conjugation | Unconjugated |
Storage & Handling
−| Storage | Maintain refrigerated at 2-8°C for up to 2 weeks. For long term storage store at -20°C in small aliquots to prevent freeze-thaw cycles. |
|---|---|
| Buffer/Preservatives | Liquid. Purified antibody supplied in 1x PBS buffer with 0.09% (w/v) sodium azide and 2% sucrose. |
| Concentration | 0.5 mg/ml |
| Expiration Date | 12 months from date of receipt. |
| Disclaimer | For research use only |
Alternative Names
−Similar Products
−Phospho-FAK (Tyr925) Rabbit Polyclonal Antibody [orb5215]
FC, IF, IHC-Fr, IHC-P, WB
Bovine, Canine, Equine, Gallus, Rabbit
Human, Mouse, Rat
Rabbit
Polyclonal
Unconjugated
50 μl, 100 μl, 200 μlPhospho-FAK (Tyr397) Rabbit Polyclonal Antibody [orb106222]
ICC, IF, IHC-Fr, IHC-P, WB
Bovine, Canine, Equine, Gallus, Rabbit
Human, Mouse, Rat
Rabbit
Polyclonal
Unconjugated
50 μl, 200 μl, 100 μlFAK Polyclonal Antibody [orb1413766]
IF, IHC-P, WB
Human, Mouse, Rat
Rabbit
Polyclonal
Unconjugated
100 μlFAK rabbit pAb Antibody [orb769781]
ELISA, IF, IHC, WB
Human, Mouse, Rat
Polyclonal
Unconjugated
50 μl, 100 μlFAK (phospho Tyr861) rabbit pAb Antibody [orb764187]
ELISA, WB
Human, Monkey, Mouse, Rat
Polyclonal
Unconjugated
100 μl, 50 μl

Quality Guarantee
Explore bioreagents carefree to elevate your research. All our products are rigorously tested for performance. If a product does not perform as described on its datasheet, our scientific support team will provide expert troubleshooting, a prompt replacement, or a refund. For full details, please see our Terms & Conditions and Buying Guide. Contact us at support@biorbyt.com.

Sample Tissue: Mouse Brain, Antibody Dilution: 1 ug/ml.

Sample Type: HepG2 Whole Cell lysates, Antibody Dilution: 1.0 ug/ml.

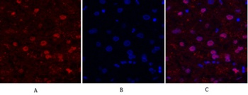
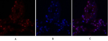
Rabbit Anti-PTK2 Antibody, Catalog Number: orb587536, Formalin Fixed Paraffin Embedded Tissue: Human Urinary Bladder Tissue, Observed Staining: Plasma membrane, Cytoplasm, Primary Antibody Concentration: 1:100, Other Working Concentrations: N/A, Secondary Antibody: Donkey anti-Rabbit-Cy3, Secondary Antibody Concentration: 1:200, Magnification: 20X, Exposure Time: 0.5-2.0 sec.
Quick Database Links
UniProt Details
−Documents Download
Request a Document
PTK2 Rabbit Polyclonal Antibody (orb587536)
Participating in our Biorbyt product reviews program enables you to support fellow scientists by sharing your firsthand experience with our products.
Login to Submit a Review
























