You have no items in your shopping cart.
RCC1 rabbit pAb Antibody
Description
Images & Validation
−| Tested Applications | ELISA, IF, IHC, WB |
|---|---|
| Dilution Range | WB 1:500-2000,IHC-p 1:50-200 ELISA 1:10000-20000 |
| Reactivity | Human, Mouse, Rat |
Key Properties
−| Clonality | Polyclonal |
|---|---|
| Isotype | IgG |
| Immunogen | Synthetic peptide from human protein at AA range: 301-350 |
| Molecular Weight | 45 |
| Purification | The antibody was affinity-purified from rabbit antiserum by affinity-chromatography using epitope-specific immunogen. |
| Conjugation | Unconjugated |
Storage & Handling
−| Storage | Maintain refrigerated at 2-8°C for up to 2 weeks. For long term storage store at -20°C in small aliquots to prevent freeze-thaw cycles. |
|---|---|
| Buffer/Preservatives | PBS with 0.02% sodium azide and 50% glycerol pH 7.4. |
| Concentration | 1 mg/ml |
| Expiration Date | 12 months from date of receipt. |
| Disclaimer | For research use only |
Alternative Names
−Similar Products
−CLLD7 rabbit pAb Antibody [orb769591]
ELISA, IF, IHC, WB
Human, Mouse
Polyclonal
Unconjugated
100 μl, 50 μlRCC2 rabbit pAb Antibody [orb769686]
ELISA, IF, IHC, WB
Human, Mouse
Polyclonal
Unconjugated
50 μl, 100 μlRCC1 (phospho-Ser11) rabbit pAb Antibody [orb2304089]
IHC, WB
Human, Mouse, Rat
Polyclonal
Unconjugated
100 μl, 50 μlMETTL11A Rabbit pAb, PE-Cy5 conjugated [orb2841607]
IF
Bovine, Canine, Equine, Gallus, Human, Porcine
Mouse, Rat
Rabbit
Polyclonal
PE/Cy5
100 μlMETTL11A Rabbit pAb, PE-Cy5.5 conjugated [orb2841608]
IF
Bovine, Canine, Equine, Gallus, Human, Porcine
Mouse, Rat
Rabbit
Polyclonal
PE/Cy5.5
100 μl

Quality Guarantee
Explore bioreagents carefree to elevate your research. All our products are rigorously tested for performance. If a product does not perform as described on its datasheet, our scientific support team will provide expert troubleshooting, a prompt replacement, or a refund. For full details, please see our Terms & Conditions and Buying Guide. Contact us at support@biorbyt.com.

Immunohistochemical analysis of paraffin-embedded human-thyroid, antibody was diluted at 1:200.

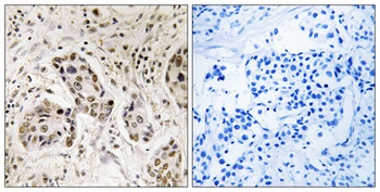
Immunohistochemical analysis of paraffin-embedded human-skin, antibody was diluted at 1:200.

Western Blot analysis of HEPG2 cells using Antibody diluted at 800. Secondary antibody was diluted at 1:20000.
Documents Download
Request a Document
Protocol Information
RCC1 rabbit pAb Antibody (orb771407)
Participating in our Biorbyt product reviews program enables you to support fellow scientists by sharing your firsthand experience with our products.
Login to Submit a Review


