You have no items in your shopping cart.
RGS16 Antibody
Description
Images & Validation
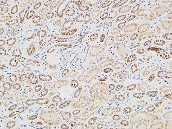
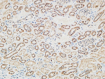
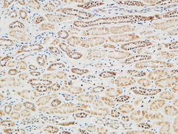
−| Tested Applications | FC, IF, IHC, WB |
|---|---|
| Dilution Range | WB 1:500~2000, IHC 1:150, IF 1:100, FLOW 1:100 |
| Reactivity | Human, Mouse, Rat |
Key Properties
−| Host | Mouse |
|---|---|
| Clonality | Monoclonal |
| Isotype | IgG1 |
| Immunogen | Full length human recombinant protein of human RGS16(NP_002919) produced in HEK293T cell. |
| Target | RGS16 |
| Purification | Purified from mouse ascites fluids or tissue culture supernatant by affinity chromatography (protein A/G) |
| Conjugation | Unconjugated |
Storage & Handling
−| Storage | Maintain refrigerated at 2-8°C for up to 2 weeks. For long term storage store at -20°C in small aliquots to prevent freeze-thaw cycles. |
|---|---|
| Buffer/Preservatives | Lyophilized powder (original buffer 1X PBS, pH 7.3, 8% trehalose) |
| Disclaimer | For research use only |
Alternative Names
−Similar Products
−RGS16 rabbit pAb Antibody [orb769920]
ELISA, IF, IHC
Human, Mouse, Rat
Polyclonal
Unconjugated
100 μl, 50 μlRGS16 (phospho Tyr168) rabbit pAb Antibody [orb769919]
ELISA, IHC, WB
Human, Monkey, Mouse, Rat
Polyclonal
Unconjugated
50 μl, 100 μl

Quality Guarantee
Explore bioreagents carefree to elevate your research. All our products are rigorously tested for performance. If a product does not perform as described on its datasheet, our scientific support team will provide expert troubleshooting, a prompt replacement, or a refund. For full details, please see our Terms & Conditions and Buying Guide. Contact us at support@biorbyt.com.

Western blot analysis of HEK293T cells were transfected with the pCMV6-ENTRY control (Left lane) or pCMV6-ENTRY RGS16 (Right lane) cDNA for 48 hrs and lysed using RGS16 antibody
Quick Database Links
Documents Download
Request a Document
Protocol Information
RGS16 Antibody (orb1335415)
Participating in our Biorbyt product reviews program enables you to support fellow scientists by sharing your firsthand experience with our products.
Login to Submit a Review














