You have no items in your shopping cart.
SP3 Rabbit Polyclonal Antibody
Description
Research Area
Images & Validation
−| Tested Applications | IHC, WB |
|---|---|
| Reactivity | Human, Mouse |
| Predicted Reactivity | Bovine, Canine, Equine, Guinea pig, Rabbit, Rat |
Key Properties
−| Host | Rabbit |
|---|---|
| Clonality | Polyclonal |
| Immunogen | The immunogen is a synthetic peptide directed towards the middle region of human SP3 |
| Target | SP3 |
| Protein Sequence | Synthetic peptide located within the following region: TAGINADGHLINTGQAMDSSDNSERTGERVSPDINETNTDTDLFVPTSSS |
| Molecular Weight | 82 kDa |
| Purification | Affinity Purified |
| Conjugation | Unconjugated |
Storage & Handling
−| Storage | Maintain refrigerated at 2-8°C for up to 2 weeks. For long term storage store at -20°C in small aliquots to prevent freeze-thaw cycles. |
|---|---|
| Buffer/Preservatives | Liquid. Purified antibody supplied in 1x PBS buffer with 0.09% (w/v) sodium azide and 2% sucrose. |
| Concentration | 0.5 mg/ml |
| Expiration Date | 12 months from date of receipt. |
| Disclaimer | For research use only |
Alternative Names
−Similar Products
−SP3 Rabbit Polyclonal Antibody [orb308803]
IHC, WB
Human, Mouse, Rat
Rabbit
Polyclonal
Unconjugated
100 μgSp3/4 rabbit pAb Antibody [orb770134]
ELISA, IF, IHC, WB
Human, Mouse, Rat
Polyclonal
Unconjugated
100 μl, 50 μlSP3 Rabbit Polyclonal Antibody [orb1174198]
ELISA, IHC
Human, Mouse, Rat
Rabbit
Polyclonal
Unconjugated
100 μg

Quality Guarantee
Explore bioreagents carefree to elevate your research. All our products are rigorously tested for performance. If a product does not perform as described on its datasheet, our scientific support team will provide expert troubleshooting, a prompt replacement, or a refund. For full details, please see our Terms & Conditions and Buying Guide. Contact us at support@biorbyt.com.

Sample Type: Human nuclear cell extracts (30 ug), Primary dilution: 1:1000, Secondary Antibody: anti-Rabbit HRP, Secondary dilution: 1:20000, SP3 is supported by BioGPS gene expression data to be expressed in U2OS.

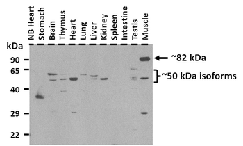
25 ug of the indicated Mouse whole tissue extracts was loaded onto a 12% SDS-PAGE gel. 1 ug/ml of the antibody was used in this experiment. Multiple isoforms (~6) of mouse Sp3 are known and several can be identified with this antibody.

Sample Tissue: Mouse Skeletal Muscle, Antibody dilution: 1 ug/ml.

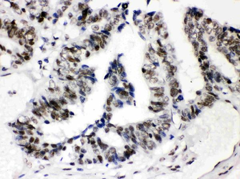
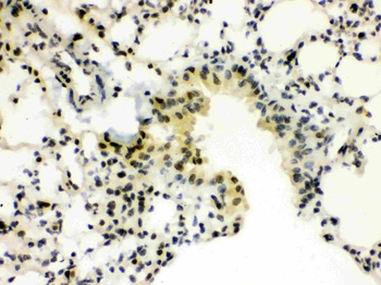
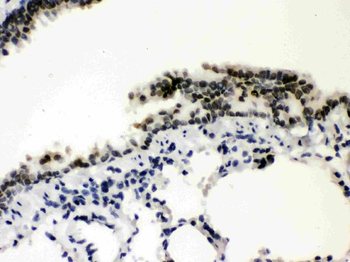
Immunohistochemistry with Human Prostate lysate tissue at an antibody concentration of 5.0 ug/ml using anti-SP3 antibody (orb574609).

WB Suggested Anti-SP3 Antibody Titration: 0.2-1 ug/ml, ELISA Titer: 1:312500, Positive Control: Human Muscle.
Documents Download
Request a Document
Protocol Information
SP3 Rabbit Polyclonal Antibody (orb574609)
Participating in our Biorbyt product reviews program enables you to support fellow scientists by sharing your firsthand experience with our products.
Login to Submit a Review








