You have no items in your shopping cart.
Sumo 1 Antibody
Description
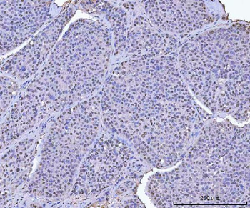
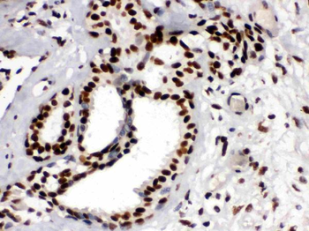
Images & Validation
−| Tested Applications | WB |
|---|---|
| Dilution range | WB 1:500 |
| Reactivity | Human, Mouse, Rat |
| Application Notes |
Key Properties
−| Antibody Type | Primary Antibody |
|---|---|
| Host | Mouse |
| Clonality | Monoclonal |
| Isotype | IgG2b |
| Clone No. | OTI2B3 |
| Immunogen | Full length human recombinant protein of human SUMO1 (NP_001005781) produced in E.coli. |
| Target | Sumo 1 |
| Molecular Weight | 11.4 kDa |
| Conjugation | Unconjugated |
Storage & Handling
−| Storage | Maintain refrigerated at 2-8°C for up to 2 weeks. For long term storage store at -20°C in small aliquots to prevent freeze-thaw cycles. |
|---|---|
| Disclaimer | For research use only |
Similar Products
−Phospho-TRIM28 (Ser473) Rabbit Polyclonal Antibody [orb184818]
FC, IF, IHC-Fr, IHC-P
Monkey, Primate, Rabbit
Human, Mouse, Rat
Rabbit
Polyclonal
Unconjugated
50 μl, 100 μl, 200 μlKAP1/TRIM28 Antibody [orb334567]
FC, ICC, IF, IHC, WB
Human, Mouse, Rat
Rabbit
Polyclonal
Unconjugated
100 μgRabbit anti-Phospho KAP-1 (S824) Recombinant Monoclonal Antibody [orb1519972]
FC, ICC, IHC, IP, SW-Size, WB
Human, Mouse
Rabbit
Recombinant
Unconjugated
100 μlSumo 1/SUMO1 Antibody [orb692211]
FC, ICC, IF, IHC
Human, Mouse, Rat
Rabbit
Polyclonal
Unconjugated
100 μgSUMO2/3 Antibody [orb763079]
ELISA, FC, ICC, IF, IHC, WB
Human, Mouse, Rat
Rabbit
Polyclonal
Unconjugated
100 μg

Quality Guarantee
Explore bioreagents carefree to elevate your research. All our products are rigorously tested for performance. If a product does not perform as described on its datasheet, our scientific support team will provide expert troubleshooting, a prompt replacement, or a refund. For full details, please see our Terms & Conditions and Buying Guide. Contact us at support@biorbyt.com.

Western blot analysis of HEK293T cells were transfected with the pCMV6-ENTRY control (Left lane) or pCMV6-ENTRY SUMO1 ( Right lane) using Sumo 1 (SUMO1) antibody
Quick Database Links
UniProt Details
−NCBI Reference Sequences
−| mRNA | NM_001005781 |
|---|
Documents Download
Request a Document
Sumo 1 Antibody (orb1327457)
Participating in our Biorbyt product reviews program enables you to support fellow scientists by sharing your firsthand experience with our products.
Login to Submit a Review










































