You have no items in your shopping cart.
SYVN1
SKU: orb1280982
Description
Research Area
Epigenetics
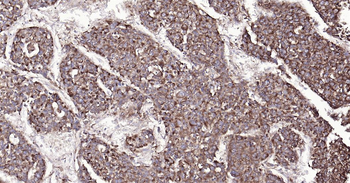
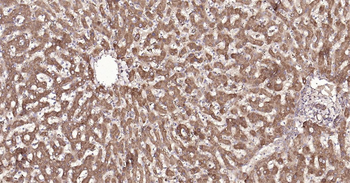
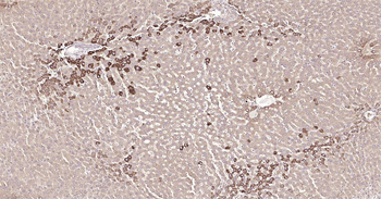
Images & Validation
−
| Tested Applications | IHC, WB |
|---|---|
| Dilution range | WB: 1/500-1/2000; IHC: 1/50-1/200; ELISA: 1/5000-1/10000 |
| Reactivity | Human, Mouse |
Key Properties
−| Antibody Type | Primary Antibody |
|---|---|
| Host | Rabbit |
| Clonality | Polyclonal |
| Isotype | Rabbit IgG |
| Immunogen | Fusion protein of human SYVN1 |
| Target | SYVN1 |
| Molecular Weight | 68 kDa |
| Conjugation | Unconjugated |
Storage & Handling
−| Storage | Maintain refrigerated at 2-8°C for up to 2 weeks. For long term storage store at -20°C in small aliquots to prevent freeze-thaw cycles. |
|---|---|
| Buffer/Preservatives | pH 7.4 PBS, 0.05% NaN3, 40% Glycerol |
| Concentration | batch dependent |
| Disclaimer | For research use only |
Alternative Names
−DER3, HRD1
Similar Products
−SYVN1 Rabbit Polyclonal Antibody [orb11440]
FC, IF, IHC-Fr, IHC-P, WB
Bovine, Canine
Human, Mouse, Rat
Rabbit
Polyclonal
Unconjugated
50 μl, 100 μl, 200 μlSYVN1 (HRD1) Antibody (C-term) [orb1939521]
IF, IHC-P, WB
Human, Mouse
Rabbit
Polyclonal
Unconjugated
50 μl, 100 μlSYVN1 Antibody [orb631689]
ELISA, IHC, IP, WB
Human, Mouse, Rat
Rabbit
Polyclonal
Unconjugated
100 μg, 50 μg

Quality Guarantee
Explore bioreagents carefree to elevate your research. All our products are rigorously tested for performance. If a product does not perform as described on its datasheet, our scientific support team will provide expert troubleshooting, a prompt replacement, or a refund. For full details, please see our Terms & Conditions and Buying Guide. Contact us at support@biorbyt.com.
Quick Database Links
Gene Symbol
SYVN1
UniProt
UniProt Details
− No UniProt data available
Documents Download
Datasheet
Product Information
Request a Document
Protocol Information
WB
Western Blot (IB, immunoblot)
IHC
Immunohistochemistry
SYVN1 (orb1280982)
Based on 0 reviews
Participating in our Biorbyt product reviews program enables you to support fellow scientists by sharing your firsthand experience with our products.
Login to Submit a Review

























