You have no items in your shopping cart.
TIMP3 Antibody (Center)
Description
Research Area
Images & Validation
−| Tested Applications | FC, IHC-P, WB |
|---|---|
| Dilution Range | WB: 1:1000, WB: 1:1000, IHC-P: 1:10~50, FC: 1:10~50 |
| Reactivity | Human, Mouse |
| Predicted Reactivity | Equine, Rabbit, Rat |
Key Properties
−| Antibody Type | Primary Antibody |
|---|---|
| Host | Rabbit |
| Clonality | Polyclonal |
| Isotype | Rabbit IgG |
| Clone No. | RB21049 |
| Target | This TIMP3 antibody is generated from rabbits immunized with a KLH conjugated synthetic peptide between 113-139 amino acids from the Central region of human TIMP3. |
| Molecular Weight | 24145 Da |
| Conjugation | Unconjugated |
Storage & Handling
−| Storage | Maintain refrigerated at 2-8°C for up to 2 weeks. For long term storage store at -20°C in small aliquots to prevent freeze-thaw cycles |
|---|---|
| Form/Appearance | Purified polyclonal antibody supplied in PBS with 0.09% (W/V) sodium azide. This antibody is purified through a protein A column, followed by peptide affinity purification. |
| Expiration Date | 12 months from date of receipt. |
| Disclaimer | For research use only |
Alternative Names
−Similar Products
−TIMP3 Antibody (Center) [orb39816]
FC, IHC-P, WB
Equine, Rabbit, Rat
Human, Mouse
Rabbit
Polyclonal
Unconjugated
80 μlTIMP3 Antibody (Center) [orb3017184]
FC, IHC-P, WB
Equine, Rabbit, Rat
Human, Mouse
Rabbit
Polyclonal
Unconjugated

Quality Guarantee
Explore bioreagents carefree to elevate your research. All our products are rigorously tested for performance. If a product does not perform as described on its datasheet, our scientific support team will provide expert troubleshooting, a prompt replacement, or a refund. For full details, please see our Terms & Conditions and Buying Guide. Contact us at support@biorbyt.com.

Western blot analysis of TIMP3 Antibody (Center) in HepG2 cell line lysates (35 ug/lane). TIMP3 (arrow) was detected using the purified Pab.

TIMP3 Antibody (Center) flow cytometric analysis of MCF-7 cells (bottom histogram) compared to a negative control cell (top histogram). FITC-conjugated goat-anti-rabbit secondary antibodies were used for the analysis.

Western blot analysis of TIMP3 Antibody (Center) Pab pre-incubated without (lane 1) and with (lane 2) blocking peptide in mouse NIH-3T3 cell line lysate. TIMP3 Antibody (Center) (arrow) was detected using the purified Pab.

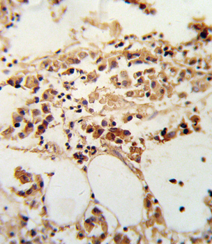
Formalin-fixed and paraffin-embedded human breast carcinoma reacted with TIMP3 Antibody (Center), which was peroxidase-conjugated to the secondary antibody, followed by DAB staining. This data demonstrates the use of this antibody for immunohistochemistry; clinical relevance has not been evaluated.
Quick Database Links
UniProt Details
−NCBI Reference Sequences
−| Protein | NP_000353.1 |
|---|
Documents Download
Request a Document
Protocol Information
TIMP3 Antibody (Center) (orb1928096)
Participating in our Biorbyt product reviews program enables you to support fellow scientists by sharing your firsthand experience with our products.
Login to Submit a Review



