You have no items in your shopping cart.
TRAF6 Antibody
Description
Research Area
Images & Validation
−| Tested Applications | ELISA, IF, IHC, WB |
|---|---|
| Dilution range | WB: 1:500 - 1:2000; IHC: 1:50 - 1:200; IF: 1:50 - 1:200 |
| Reactivity | Human, Mouse, Rat |
Key Properties
−| Antibody Type | Primary Antibody |
|---|---|
| Host | Rabbit |
| Clonality | Polyclonal |
| Isotype | IgG |
| Immunogen | TNF receptor-associated factor 6 |
| Target | TRAF6 |
| Purity | ≥95% as determined by SDS-PAGE |
| Purification | Immunogen affinity purified |
| Conjugation | Unconjugated |
Storage & Handling
−| Storage | Maintain refrigerated at 2-8°C for up to 2 weeks. For long term storage store at -20°C in small aliquots to prevent freeze-thaw cycles. |
|---|---|
| Form/Appearance | liquid |
| Disclaimer | For research use only |
Alternative Names
−Similar Products
−TRAF6 Rabbit Polyclonal Antibody [orb11508]
WB
Bovine, Equine, Human, Mouse, Porcine, Rabbit, Sheep
Rat
Rabbit
Polyclonal
Unconjugated
50 μl, 100 μl, 200 μlPhospho-Ask1 (Ser83) (G4) rabbit mAb Antibody [orb1946273]
FC, WB
Human, Mouse, Rat
Rabbit
Monoclonal
Unconjugated
200 μl, 20 μlTRAF6 Rabbit Polyclonal Antibody [orb573606]
WB
Bovine, Equine, Mouse, Porcine, Rabbit, Rat
Human
Rabbit
Polyclonal
Unconjugated
100 μlUBE2V1 Rabbit Polyclonal Antibody [orb100453]
FC, IF, IHC-Fr, IHC-P
Equine, Gallus, Mouse, Porcine, Sheep
Human, Rat
Rabbit
Polyclonal
Unconjugated
50 μl, 200 μl, 100 μl

Quality Guarantee
Explore bioreagents carefree to elevate your research. All our products are rigorously tested for performance. If a product does not perform as described on its datasheet, our scientific support team will provide expert troubleshooting, a prompt replacement, or a refund. For full details, please see our Terms & Conditions and Buying Guide. Contact us at support@biorbyt.com.

A431 cells were subjected to SDS PAGE followed by western blot with orb632098 (TRAF6 antibody) at dilution of 1:300.

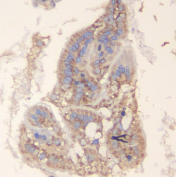
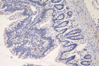
Immunohistochemistry of paraffin-embedded human colon tissue slide using orb632098 (TRAF6 Antibody) at dilution of 1:200.
Quick Database Links
UniProt Details
−Documents Download
Request a Document
Protocol Information
TRAF6 Antibody (orb632098)
Participating in our Biorbyt product reviews program enables you to support fellow scientists by sharing your firsthand experience with our products.
Login to Submit a Review



















