You have no items in your shopping cart.
TUBB3 Antibody
Description
Research Area
Images & Validation
−| Tested Applications | IF, IHC, IP, WB |
|---|---|
| Reactivity | Human, Mouse, Rat |
| Application Notes |
Key Properties
−| Antibody Type | Primary Antibody |
|---|---|
| Host | Rabbit |
| Clonality | Polyclonal |
| Isotype | IgG |
| Immunogen | Recombinant protein of human TUBB3. |
| Target | TUBB3 |
| Molecular Weight | Observed: 55kDa |
| Purification | Affinity purification |
| Conjugation | Unconjugated |
Storage & Handling
−| Storage | Maintain refrigerated at 2-8°C for up to 2 weeks. For long term storage store at -20°C in small aliquots to prevent freeze-thaw cycles. |
|---|---|
| Form/Appearance | Liquid |
| Buffer/Preservatives | PBS with 0.02% sodium azide, 50% glycerol, pH 7.3. |
| Concentration | batch dependent |
| Disclaimer | For research use only |
Alternative Names
−Similar Products
−TUBB3 (Neuronal Marker) Mouse Monoclonal Antibody [orb500843]
FC, IF, IHC-Fr, IHC-P, WB
Mouse, Rat
Human, Mouse, Rat
Mouse
Monoclonal
Unconjugated
100 μl, 200 μl, 500 μl, 50 μlTubulin beta-III Recombinant Rabbit Monoclonal Antibody [orb612226]
FC, ICC, IF, IHC-Fr, IHC-P, WB
Mouse, Rat
Human, Mouse, Rat
Rabbit
Recombinant
Unconjugated
100 μl, 50 μl, 25 μlbetaIII-Tubulin Antibody [orb44544]
FC, ICC, IHC-P, WB
Canine, Human, Mouse, Porcine, Rat
Monoclonal
Unconjugated
0.1 mgTUBB3 Antibody (N-term) [orb1930373]
FC, IHC-P, WB
Bovine, Gallus, Monkey, Rat
Human, Mouse
Rabbit
Polyclonal
Unconjugated
100 μl, 50 μl

Quality Guarantee
Explore bioreagents carefree to elevate your research. All our products are rigorously tested for performance. If a product does not perform as described on its datasheet, our scientific support team will provide expert troubleshooting, a prompt replacement, or a refund. For full details, please see our Terms & Conditions and Buying Guide. Contact us at support@biorbyt.com.

Western blot analysis of extracts of various cell lines, using TUBB3 antibody (orb1258780) at 1:1000 dilution. Secondary antibody: HRP Goat Anti-Rabbit IgG (H+L) at 1:10000 dilution. Lysates/proteins: 25 ug per lane. Blocking buffer: 3% nonfat dry milk in TBST. Detection: ECL Basic Kit. Exposure time: 1s.

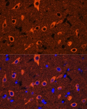
Immunofluorescence analysis of mouse brain using TUBB3 antibody (orb1258780) at dilution of 1:100. Blue: DAPI for nuclear staining.

Immunofluorescence analysis of rat brain using TUBB3 antibody (orb1258780) at dilution of 1:100. Blue: DAPI for nuclear staining.

Immunofluorescence analysis of U-251MG cells using TUBB3 antibody (orb1258780) at dilution of 1:100. Blue: DAPI for nuclear staining.
Quick Database Links
UniProt Details
−Documents Download
Request a Document
Protocol Information
TUBB3 Antibody (orb1258780)
Participating in our Biorbyt product reviews program enables you to support fellow scientists by sharing your firsthand experience with our products.
Login to Submit a Review

































