You have no items in your shopping cart.
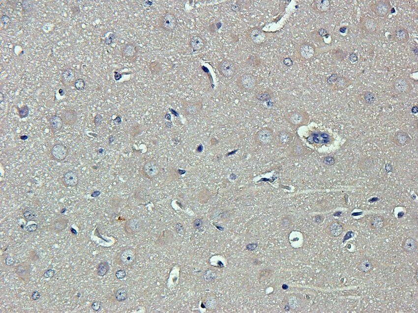
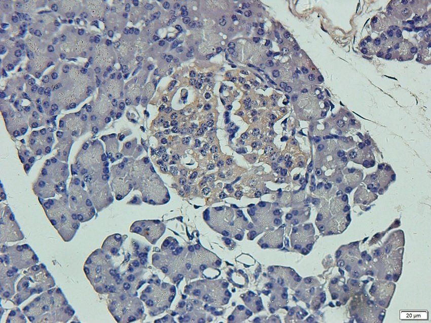
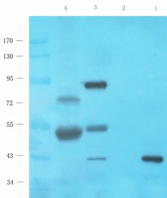
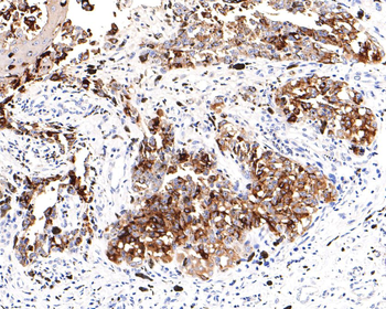
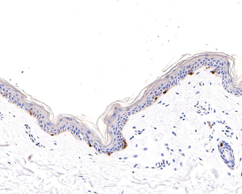
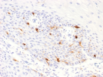
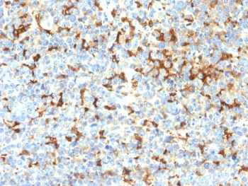
TYRP1 Antibody
Description
Research Area
Images & Validation
−
| Tested Applications | IHC |
|---|---|
| Reactivity | Human, Mouse |
Key Properties
−| Host | Rabbit |
|---|---|
| Clonality | Polyclonal |
| Isotype | IgG |
| Immunogen | Recombinant human TYRP1 protein |
| Target | TYRP1 |
| Molecular Weight | 75kDa |
| Purification | Protein A |
| Conjugation | Unconjugated |
Storage & Handling
−| Storage | Maintain refrigerated at 2-8°C for up to 2 weeks. For long term storage store at -20°C in small aliquots to prevent freeze-thaw cycles. |
|---|---|
| Form/Appearance | 200ug/ml of Ab Purified by Protein A. Prepared in 10mM PBS with 0.05% rAlbumin & 0.05% azide. Also available WITHOUT rAlbumin & azide at 1.0mg/ml. |
| Expiration Date | 12 months from date of receipt. |
| Disclaimer | For research use only |
Alternative Names
−Similar Products
−TYRP1 Rabbit Polyclonal Antibody [orb325137]
IHC, WB
Bovine, Canine, Equine, Goat, Guinea pig, Rabbit, Rat, Sheep, Zebrafish
Human, Mouse
Rabbit
Polyclonal
Unconjugated
100 μlTYRP1 Rabbit Polyclonal Antibody [orb158651]
IF, IHC-Fr, IHC-P, WB
Bovine, Equine, Rat
Human, Mouse
Rabbit
Polyclonal
Unconjugated
50 μl, 100 μl, 200 μlTYRP1 Recombinant Rabbit Monoclonal Antibody [orb1184679]
IF, IHC-Fr, IHC-P, IP, WB
Human
Human
Rabbit
Recombinant
Unconjugated
50 μl, 100 μlRecombinant TRP1 Antibody / Tyrosinase Related Protein 1 / TYRP1 [orb2640606]
ELISA, IHC-P
Human
Rabbit
Recombinant
Unconjugated
100 μg

Quality Guarantee
Explore bioreagents carefree to elevate your research. All our products are rigorously tested for performance. If a product does not perform as described on its datasheet, our scientific support team will provide expert troubleshooting, a prompt replacement, or a refund. For full details, please see our Terms & Conditions and Buying Guide. Contact us at support@biorbyt.com.
Quick Database Links
UniProt Details
−Documents Download
Request a Document
TYRP1 Antibody (orb607783)
Participating in our Biorbyt product reviews program enables you to support fellow scientists by sharing your firsthand experience with our products.
Login to Submit a Review





















