You have no items in your shopping cart.
UBE2N Antibody
Description
Research Area
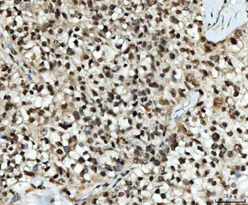
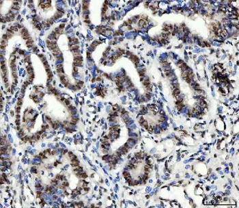
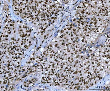
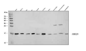
Images & Validation
−
| Tested Applications | IHC, WB |
|---|---|
| Dilution range | WB: 1/500-1/2000; IHC: 1/50-1/200; ELISA: 1/5000-1/10000 |
| Reactivity | Human, Mouse, Rat |
Key Properties
−| Antibody Type | Primary Antibody |
|---|---|
| Host | Rabbit |
| Clonality | Polyclonal |
| Isotype | Rabbit IgG |
| Immunogen | Synthetic peptide of human UBE2N |
| Target | UBE2N |
| Molecular Weight | 17 kDa |
| Conjugation | Unconjugated |
Storage & Handling
−| Storage | Maintain refrigerated at 2-8°C for up to 2 weeks. For long term storage store at -20°C in small aliquots to prevent freeze-thaw cycles. |
|---|---|
| Buffer/Preservatives | Purified antibody in PBS with 0.05% sodium azide and 50% glycerol. |
| Concentration | Approximately 1mg/ml (varies from batch to batch). Please inquire for precise concentration. |
| Disclaimer | For research use only |
Alternative Names
−Similar Products
−Ubc13/UBE2N Antibody [orb1291704]
ELISA, FC, ICC, IF, IHC, WB
Human, Mouse, Rat
Rabbit
Polyclonal
Unconjugated
100 μgUBE2N Rabbit Polyclonal Antibody [orb574525]
IHC, WB
Bovine, Canine, Equine, Goat, Guinea pig, Rabbit, Rat, Sheep, Yeast, Zebrafish
Human, Mouse
Rabbit
Polyclonal
Unconjugated
100 μlUBE2N Rabbit Polyclonal Antibody [orb574929]
IHC, WB
Bovine, Canine, Equine, Guinea pig, Rabbit, Rat, Sheep, Yeast, Zebrafish
Human, Mouse
Rabbit
Polyclonal
Unconjugated
100 μl

Quality Guarantee
Explore bioreagents carefree to elevate your research. All our products are rigorously tested for performance. If a product does not perform as described on its datasheet, our scientific support team will provide expert troubleshooting, a prompt replacement, or a refund. For full details, please see our Terms & Conditions and Buying Guide. Contact us at support@biorbyt.com.
Documents Download
Request a Document
Protocol Information
UBE2N Antibody (orb1282602)
Participating in our Biorbyt product reviews program enables you to support fellow scientists by sharing your firsthand experience with our products.
Login to Submit a Review



















